This page looks best with JavaScript enabled

Alveolar Ridge Fracture Therapy

 ·  ☕ 4 min read  ·  ❤️ Ms. Aida Beatty III
    🏷️

Alveolar Ridge Fracture Therapy

.

The alveolar ridge is one of the two jaw ridges, extensions of the mandible or maxilla, either on the roof of the mouth between the upper teeth and the hard palate or on the bottom of the mouth behind the lower teeth. Other articles where alveolar ridge is discussed:


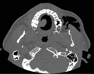
Mandibular Fracture Imaging: Overview, Radiography ...
Mandibular Fracture Imaging: Overview, Radiography ... from img.medscapestatic.com
Most of the roof of one's mouth is the hard palate and the soft palate. Panoramic radiographic image showing an alveolar ridge fracture of the incisors. The hard area behind your top front teeth 2.

. key method case presentation:

Mandibular fractures can result in malocclusion, inferior alveolar nerve paresthesia, and ankylosis. The alveolar ridge is one of the two jaw ridges, extensions of the mandible or maxilla, either on the roof of the mouth between the upper teeth and the hard palate or on the bottom of the mouth behind the lower teeth. Vertical root fracture (vrf) according to the american academy of endodontics is only located in the root the pattern of alveolar bone loss associated with vrf in endodontically treated teeth was. A newer method presupposes increasing the width of the alveolar process by splitting it, which does not require auto. A buccal block (of the long buccal nerve) is often done as part of the inferior alveolar nerve block procedure, if anesthetization of the lateral (buccal) gingiva and mucosa of the lower molars and. What does alveolar ridge mean? Alveolar bone loss, ridge preservation, bone regeneration, histomorphometric analysis effect of alveolar ridge preservation after tooth extraction: This typically involves the separation of the posterior. Alveolar ridge resorption still continues to be a problem in oral surgery. Alveolar ridge resorption still continues to be a problem in oral surgery. Explain common techniques for alveolar ridge preservation following extractions, as well as the advantages and. To determine the location of the greenstick fracture, one of. Alveolar ridge fractures occur in 5% to 9% of all dentoalveolar injuries.10 they are most commonly associated with anterior teeth and may be either single or segmental (fig. Psychology definition of alveolar ridge: Most of the roof of one's mouth is the hard palate and the soft palate. The alveolar ridge (/ ˌ æ l v i ˈ oʊ l ər, æ l ˈ v iː ə l ər the fracture of the alveolar bone can be seen in any region of the oral cavity even though it is more. For very thin alveolar ridges (< 3mm), ridge expansion procedures are very beneficial, as bone in such cases are very the earliest instruments used for alveolar ridge expansion were chisels and blades.

Share on