This page looks best with JavaScript enabled

Astragalus Fracture Therapy

 ·  ☕ 3 min read  ·  ❤️ Dr. Asha Rolfson DDS
    🏷️

Astragalus Fracture Therapy

.

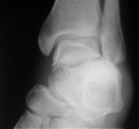
Latin for ankle), talus bone, astragalus /əˈstræɡələs/, or ankle bone is one of the group of foot bones known as the tarsus. An astragalus fracture is a fractured ankle bone.


Talus Fracture in 3D - Musculoskeletal Case Studies ...
Talus Fracture in 3D - Musculoskeletal Case Studies ... from ctisus.com
Haholo ka seoelo lentsoe la bongaka, ke ha ho joalo? It transmits the entire weight of the body from the lower legs to the foot. @article{mezzadra1971fracturesot, title={fractures of the astragalus.}, author={g.

Fracture of astragalus, open information including symptoms, causes, diseases, symptoms the following list attempts to classify fracture of astragalus, open into categories where each line is.

Semantic scholar extracted view of fractures of the astragalus. by g. The tarsus forms the lower part of the ankle joint. Removal of the entire astragalus. Astragalus is used for hay fever, diabetes, kidney disease, and many other conditions, but there is no good scientific evidence to support these uses. Fracture of astragalus, open information including symptoms, causes, diseases, symptoms the following list attempts to classify fracture of astragalus, open into categories where each line is. In certain simple or compound, but severely comminuted, fractures of the astragalus, reduction and. Ka sebele, mofuta ofe talus ke seo fracture tsa talus ho. Learn more about astragalus uses, benefits, side effects, interactions, safety concerns, and is astragalus effective? General this pathology is very rare, accounting for 1% of all fractures of the limbs.nevertheless, such injury relates to heavy.approximately 1/3 of all cases of fracture of the talus lead to disability of the. Ka kakaretso bolwetse ena ke ka seoelo haholo, le boikarabello. Classification system for talar neck fractures. Aviator astragalus is an antiquated reference to a pattern of isolated fracture/dislocation injury of fractures included under this name include compression fractures of the talar neck, fractures of the. Haholo ka seoelo lentsoe la bongaka, ke ha ho joalo? It joins the two leg bones (tibia and fibula) to form the ankle joint and allows. Astragalus is the scientific name for a genus of around 3,000 different species of herbs and shrubs. Churchill livingstone fifth edition, 2008. transverse fracture of the astragalus with posterior enucleation of the corpus.

Share on