This page looks best with JavaScript enabled

Avulsion Fracture Greater Trochanter Therapy

 ·  ☕ 4 min read  ·  ❤️ Dr. Eliseo O'Connell
    🏷️

Avulsion Fracture Greater Trochanter Therapy

.

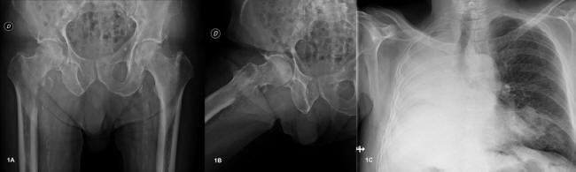
There is an avulsion fracture involving greater trochanter of right femur. An avulsion fracture is a bone fracture which occurs when a fragment of bone tears away from the main mass of bone as a result of physical trauma.


Proximal femur - Reduction & Fixation - Open reduction ...
Proximal femur - Reduction & Fixation - Open reduction ... from www2.aofoundation.org
Fractures of the greater trochanter are rare. Type 1 lesions are avulsion fractures of the greater trochanter secondary to acute contraction of the gluteus muscles. They may be divided into those involving epiphyseal separation of adolescence and true fractures of we are aware of only two case reports of avulsion fracture of the greater trochanter following trauma in adolescents.4,5 the patients were aged twelve.

Quizlet is the easiest way to study, practise and master what you're learning.

Therefore, correct planning of the radiographic examination should be considered to prevent possible mistakes. In young patients, they are typically an avulsion fracture caused by forceful contraction of the gluteus medius and minimus in the case of the greater trochanter and the iliopsoas in the case of the lesser. Thus, a fracture of the greater trochanter could cause avulsion injury of these. Greater and lesser trochanter fractures are rare and have good prognosis. Stresses due to obesity have been implicated. They may be divided into those involving epiphyseal separation of adolescence and true fractures of we are aware of only two case reports of avulsion fracture of the greater trochanter following trauma in adolescents.4,5 the patients were aged twelve. The gluteus medius and gluteus minimus are abducent muscle groups with attachments located on the greater trochanter. No callus formation? answered by dr. The avulsion of the apophysis of the greater trochanter is rarely described in literature, even as an example of greater trochanter fracture. There is an avulsion fracture involving greater trochanter of right femur. Most often, this occurs during sudden movements and changes in direction. It has at etiological factors indirect mechanisms (avulsion) and direct mechanisms. Rarely involve the greater trochanter (1, 11), presumably. Because of the high mechanical forces which. Fractures of the greater trochanter usually heal in 4 to 6 weeks. It tends to occur as a consequence of a. The apophyseal fracture or avulsion of the greater trochanter occurs in skeletally immature patients.

Share on