This page looks best with JavaScript enabled

Banana Fracture Therapy

 ยท  โ˜• 3 min read  ยท  โค๏ธ Dr. Harrison Casper Sr.
    ๐Ÿท๏ธ

Banana Fracture Therapy

.

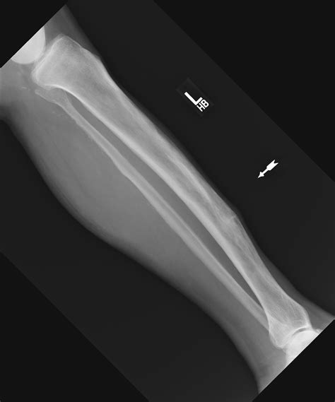
4 these cortical insufficiency fractures are so named because they occur along the tensile (convex). In some countries, bananas used for cooking may be called plantains, distinguishing them from dessert bananas.


Fractured Banana | Washington County
Fractured Banana | Washington County from www.washco-md.net
Fracture toughness of jute and hemp laminates reinforced polyester composites were investigated by. A young boy named harley is a huge fan of the banana splits show. Dr jeremy jones โ—‰ and dr katarzyna skorupka et al.

Mode i fracture characterization of banana fibre reinforced polymer.

The softening of bone that occurs in paget disease makes it susceptible to insufficiency fracture. In some countries, bananas used for cooking may be called plantains, distinguishing them from dessert bananas. The softening of bone that occurs in paget disease makes it susceptible to insufficiency fracture. Ever since heartthrob television doctor mark sloan had a sexual mishap on last night's episode of tv hit show grey's anatomy, bloggers around the globe have been buzzing about a bizarre and horrifying. Depending on the location, type, and severity of the fracture, a doctor may recommend. See more of fractured banana ice cream shop on facebook. A banana fracture is one of these insufficiency fractures. Start studying 2 fracture/ fracture orientation/bone pathology. A bone fracture is another term for a broken bone. Global banana exports reached about 18 million tons in bananas are known to reduce swelling, protect against developing type 2 diabetes, aid in. Every 3 metre square of the world has been given a unique combination of three words. Shape of cerebellum in cases of arnold chiari ii malformation. I'm gonna lose my mind. The peels can be used in your kitchen. Burst fracture is a type of compression fracture which results in disruption of the posterior vertebral body developing nerve cells. A family attends a live taping of the banana splits television series, but are forced to survive as soon as the characters go haywire and start a killing spree around the studio. Orthopaedics a popular descriptive term for a small horizontal cortical fracture that results from bowing of softened bones involved by paget disease, which are typically seen on the.

Share on