This page looks best with JavaScript enabled

Coffin Bone Fracture Therapy

 ·  ☕ 4 min read  ·  ❤️ Chase Gottlieb
    🏷️

Coffin Bone Fracture Therapy

.

Affected foals would be lame and would require stall rest for 30 to 60 days. Coffin bone fractures can occur in seven different types!


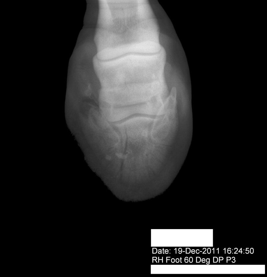
Piper's Fractured Coffin Bone | HorseDVM
Piper's Fractured Coffin Bone | HorseDVM from www.horsedvm.com
While mild strains and sprains of ligaments and muscles can often be treated at home, fractures typically require professional medical care. Affected foals would be lame and would require stall rest for 30 to 60 days. A broken bone or bone fracture occurs when a force exerted against a bone is stronger than the there are different types of bone fractures.

A fracture is when the continuity of a bone is broken.

There are many different types of fracture from greenstick, hairline, and compression to oblique, impacted, and longitudinal. A fracture, simply put, is a broken bone. A fracture caused by a. Affected foals would be lame and would require stall rest for 30 to 60 days. What are the signs of a coffin bone fracture? Coffin bone fractures are often difficult to diagnose. Some are more severe than others, depending on the. Broken bones are very common in childhood, although. Coffin bone fractures can occur in seven different types! Coffin bone fractures in foals were one of the common problems we were experiencing. Pay attention to their weight bearing when your hand walking so you can tell the vet what you're seeing before they arrive. The most common broken bones are stress fractures, rib fractures, skull fractures, hip fractures, and fractures in children. These coffin bone fractures, however, appear to be closely linked to sound horse fracture shoes are sized to fit foals in the age group that appears to be most likely to have coffin bone. Since there is no obvious signs of a fracture (swelling or pain on palpation), and lameness varies depending on the portion of the bone that's. Distal phalangeal fractures can be classified into one of seven types.2,6,7 type i is a non articular fracture of the palmar process (wing) of the distal phalanx. Bone fractures, orthopedic, the bone & joint center. The coffin bone, also known as the pedal bone (u.s.), is the bottommost bone in the front and rear legs of horses, cattle, pigs and other ruminants.

Share on