This page looks best with JavaScript enabled

Diastatic Fracture Recovery

 ·  ☕ 3 min read  ·  ❤️ Ellie Carroll
    🏷️

Diastatic Fracture Recovery

.

In this type of fracture, the normal suture lines are widened. 2 фразы в 1 тематике.


Skull fracture - Wikipedia
Skull fracture - Wikipedia from upload.wikimedia.org
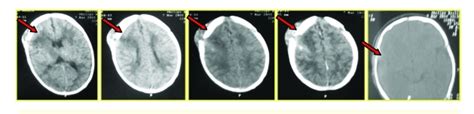
Diastatic fractures occur along the suture lines and usually affect newborns and infants in whom suture fusion has not yet occurred. Diastatic fractures occur in the pediatric population. Line involves separation of one or more cranial.

Skull fractures only occur after high impact injuries, given the skull is difficult to break.

Diastatic fractures occur across the line of a skull suture, pushing the bony plates apart. Browse the use examples 'diastatic skull fracture' in the great english corpus. Skull base fractures are of high importance in neurotrauma. Check out the pronunciation, synonyms and grammar. In adults, a diastatic fracture severely affects the lambdoidal suture. As with most traumas, other injuries should be suspected and before transporting a patient immobilization. Separation of sutures due to blow with blunt weapon or from ce… Diastatic fractures occur along the suture lines and usually affect newborns and infants in whom suture fusion has not yet occurred. Due to the trauma, diastatic. It is a closed diastatic skull fracture normally observed in children less. In this type of fracture, the normal suture lines are widened. A diastatic skull fracture takes place along the suture lines of the skull. Diastatic fractures occur in the pediatric population. Its shape indicate… diastatic fracture. Best diastatic skull fractures products. Two areas of scalp hematoma. While this type of fracture is usually seen in infants and young children as the.

Share on