This page looks best with JavaScript enabled

Distal Clavicle Fracture Icd 10 Therapy

 ยท  โ˜• 4 min read  ยท  โค๏ธ Dr. Keaton Hyatt
    ๐Ÿท๏ธ

Distal Clavicle Fracture Icd 10 Therapy

.

Displaced fracture of distal phalanx of specified finger with unspecified laterality; She returned three months later.


ืฉื‘ืจ ืขืฆื ื”ื‘ืจื™ื— - ื•ื™ืงื™ืคื“ื™ื”
ืฉื‘ืจ ืขืฆื ื”ื‘ืจื™ื— - ื•ื™ืงื™ืคื“ื™ื” from upload.wikimedia.org
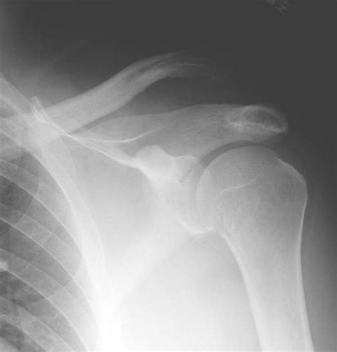
Distal end clavicle fracture (15%) type 3: The arthrexยฎ clavicle plates are used for fixation of the midshaft and in distal clavicle fractures. Complications and technical pitfalls of titanium elastic nail fixation for midclavicular fractures.

Regardless of the exact technique used.

Distal clavicle fractures are traumatic injuries usually caused by direct trauma to the shoulder from a fall in adults. Indicated there was a fracture of the right clavicle, shaft. These deal offers are from many sources, selected by our. Radiographic findings โ€” distal third clavicle fractures are divided into three types based upon fracture site and ligamentous stability (figure 3 โ—among children, 90 percent of clavicle fractures occur in the middle third. Common codes clinical documentation tips clinical scenarios. Symptoms typically include pain at the site of the break and a decreased ability to move the affected arm. It is often caused by a fall onto scapular fracture โ€” infobox disease name = scapular fracture caption = diseasesdb = icd10 cervical fracture โ€” classification and external resources a fracture of the base of the dens ( a part. Subclavian artery or vein injury. Header codes like s42.0 require more digits to indicate the appropriate level of specificity. Regardless of the exact technique used. Clavicle fractures are basically divided into three types based upon location. In children 10 and under, the majority are nondisplaced; Typically, fractured clavicles occur as the result of a direct blow to the shoulder. Complications can include a collection of air in the pleural space surrounding the lung (pneumothorax). Stability of distal fractures can be enhanced by. Bipolar clavicular fractures occur when there are both distal and medial clavicular injuries, most commonly a distal clavicle fracture in combination with an anterior sternoclavicular joint dislocation 8. There is a transverse fracture of the distal left radius just proximal to the wrist joint with dorsal displacement of.

Share on