This page looks best with JavaScript enabled

Distal Radius Fracture Icd 10 Therapy

 ·  ☕ 3 min read  ·  ❤️ Irving Schamberger III
    🏷️

Distal Radius Fracture Icd 10 Therapy

.

› left distal radius fracture icd 10 code. Because of its proximity to the wrist joint, this injury is often icd 10 … wikipedia.


Fracture peads slides
Fracture peads slides from image.slidesharecdn.com
Treatment is usually with immobilization, although surgery is sometimes needed for complex fractures. See the best & latest icd 10 code for radial diaphyseal fracture on iscoupon.com. All of coupon codes are verified and tested today!

Colles fracture, colles' fracture, fracture, colles', fracture colles', colles' fracture disease/finding, fracture;colles, colle fracture, colles fractures, colles ontology:

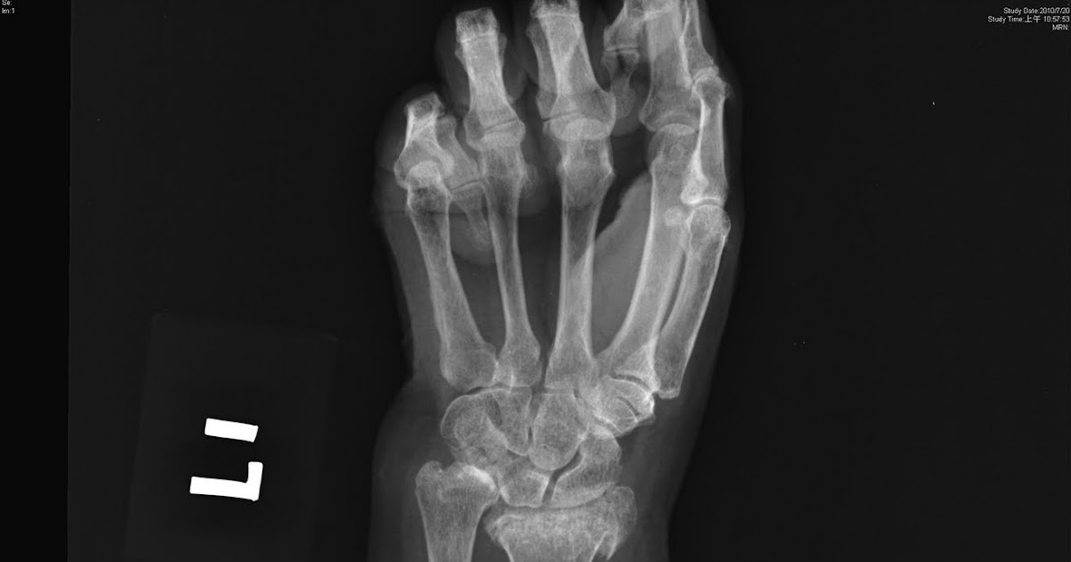
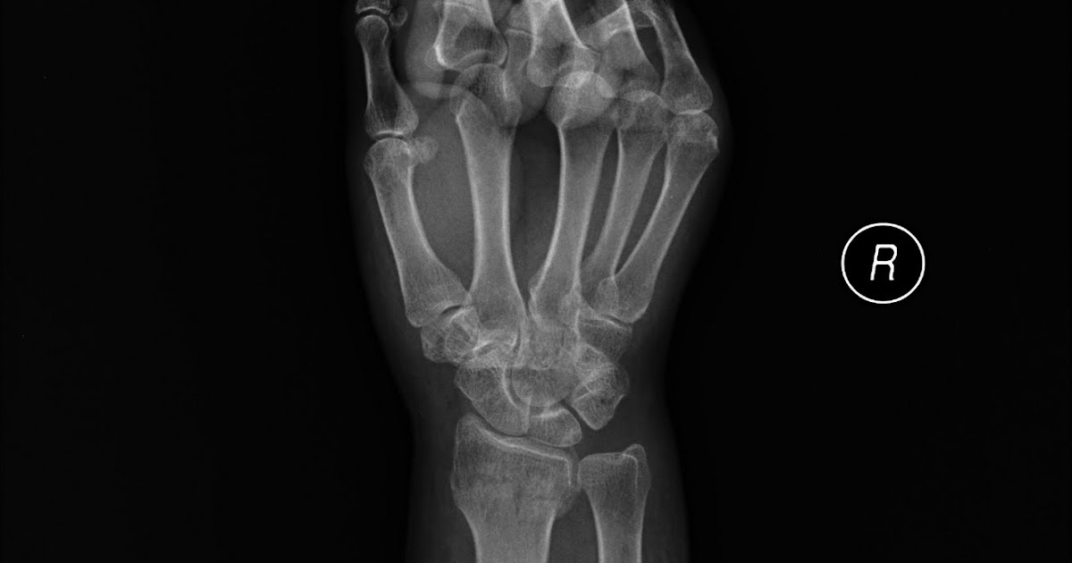
The ulna bone may also be broken. May involve articular surface frequently involving the ulnar styloid most often result from a 10: Management of distal radius fractures. These fractures have varied patterns, so a single form of treatment usually does not apply. Fracture at the metaphysis or the articulation of the distal radius. The ulna bone may also be broken. Distal radius fracture clinical practice guideline. Distal radius fractures are a predictor of subsequent fractures. Acute median and/or ulnar nerve damage (~10% of low. A distal radius fracture is a common bone fracture of the radius in the forearm. Apparent volar tilt of the surface of the distal radius, as measured on the lateral view, increases with supination and decreases with pronation of the wrist (5). The 7th character should be used when the patient. A distal radius fracture, also known as wrist fracture, is a break of the part of the radius bone which is close to the wrist. Falls are the main cause of distal radius fractures. Related online courses on physioplus. One of the most common fractures seen in the ed (1/6th of all fractures treated). Distal radius fractures occur through the distal metaphysis of the radius.

Share on