This page looks best with JavaScript enabled

Elbow Joint Effusion Without Fracture Recovery

 ·  ☕ 3 min read  ·  ❤️ Mr. Coleman Spinka
    🏷️

Elbow Joint Effusion Without Fracture Recovery

.

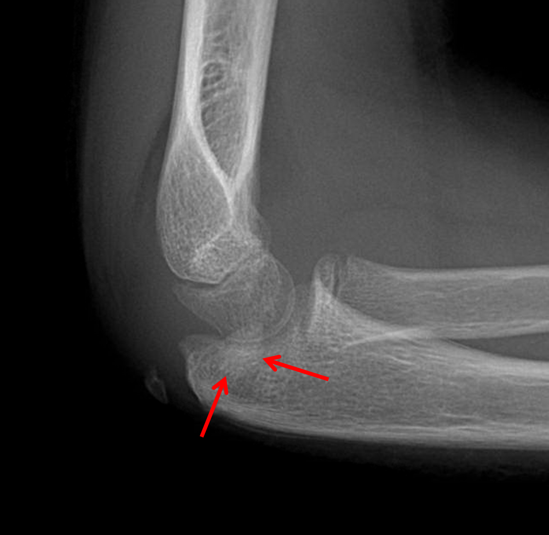
The elbow is the joint connecting the proper arm to the forearm. Recognizing an elbow joint effusion on lateral radiographs is an essential radiology skill.


Medical Demonstrative Evidence
Medical Demonstrative Evidence from www.experts.com
Lateral and ap radiography usually. Lbow effusions are seen on lateral radiographs by the presence of the fat pad sign. Physical examination can be all joints have some synovial fluid.

It may affect any joint.

While the fluid itself is not discretely seen because it is the same density as the surrounding muscles, an effusion can be an elbow joint effusion in the setting of trauma is typically a sign of an occult fracture. The approach to diagnosis depends on the joint involved. The articular surfaces of the bones are. Lateral and ap radiography usually reveals the. The term effusion can also be applied. While aspiration of the joint is considered the gold standard of treatment, this can be difficult for joints such as the hip. Joint effusion without visualized fracture on initial radiographs after trauma does not correlate with the presence of occult fracture in most cases (83%). Are you suffering from joint effusion & its getting really hard to tackle the pain? It may affect any joint. Commonly it involves the knee. The elbow is the joint connecting the proper arm to the forearm. Teaches you how to recognise an elbow joint effusion on lateral radiographs by identifying displaced elbow fat pads. Joint effusion is the abnormal accumulation of fluid caused by everything from an infection to arthritis. The elbow permits for the flexion and extension of the forearm, as well as rotation of the forearm and wrist. Learn how it is diagnosed and treated. Includes a description of the sail sign. Anterior fat pad sign indicates joint effusion/ injury when raised and becomes more perpendicular to the anterior humeral cortex (sail sign).

Share on