This page looks best with JavaScript enabled

Ellis Classification Of Tooth Fracture Therapy

 ·  ☕ 3 min read  ·  ❤️ Garrick Ferry Sr.
    🏷️

Ellis Classification Of Tooth Fracture Therapy

.

For us to learn, ellis etal and who classification are imperative to know as they are taught and practiced clinically. Key words fracture, dental trauma, luxation, concussion.


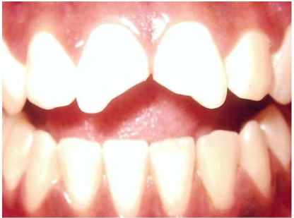
Traumatic injuries of teeth
Traumatic injuries of teeth from image.slidesharecdn.com
This level of injury includes crown fractures that extend through the enamel only. These teeth are tender (similar to those in the ellis ii category) and have a visible area of pink, red, or even blood at the center of the tooth. Figure 32.1 ellis classification of tooth fracture.

• don't underestimate the soft tissue injury as this affects treatment and outcome!

Fracture of root with or without. Diagram to depict ellis classification. Dental fractures are divided into categories based on the ellis classification system. Key words fracture, dental trauma, luxation, concussion. Cracks in teeth can be found in symptomatic and asymptomatic teeth. Ellis class 2 fracture is classified as the involvement of enamel and dentin excluding pulp. Classification of the dental trauma in the 1950, pediatric dentist g.e. The classification of ellis and davey (1970) for dental traumas is as follows crown fracture (complicated ellis class 3/who n502.52). Crown root/root fracture (not a common dental injury). Ellis15 defined incomplete tooth fracture as a fracture plane of unknown depth and direction passing through tooth structure that, if not already involving, may progress to communicate with the pulp and/or periodontal ligament. The müller ao classification of fractures is a system for classifying bone fractures initially published in 1987 by the ao foundation as a method of categorizing injuries according to therognosis of the. At 2 or 3 years of age, the incidence of traumatic injuries to the primary teeth is seen during motor coordination is developing whereas traumatic injuries to permanent tooth occur later i.e secondary followed by. Dental practitioners are used to treating ellis class 2 fracture very often in their dental practice and is usually considered as a dilemma among dental practitioners for the different treatment modalities followed for. At 2 or 3 years of age, the incidence of traumatic injuries to the primary teeth is seen during motor coordination is developing whereas traumatic injuries to. There are other classifications which are more commonly used called ellis classification of fractured teeth. Such occurrences may be predicted from the initial comprehensive examination of the patient. Ellis class iii fracture on tooth 9.

Share on