This page looks best with JavaScript enabled

Four Part Proximal Humerus Fracture Recovery

 ·  ☕ 3 min read  ·  ❤️ Prof. Ryder Ryan II
    🏷️

Four Part Proximal Humerus Fracture Recovery

.

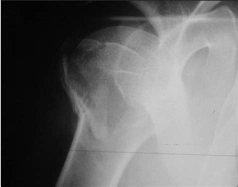
Proximal humerus fracture malunion and nonunion. A proximal humerus fracture is a break of the upper part of the bone of the arm (humerus).


A four-part fracture of the proximal humerus was treated ...
A four-part fracture of the proximal humerus was treated ... from www.researchgate.net
Proximal humerus fracture surgery, like all types of surgery, carries some risks, such as infection. Proximal humeral (humerus) fractures happens when the top aspect of the upper arm bone, that is shaped like a ball, is fractured or have a break. Fractures requires medial support via.

Complications may include axillary nerve or axillary artery injury.

The neer system divides the proximal humerus into four parts and considers not the fracture line, but the displacement as being significant in terms of classification. A proximal humerus fracture is a break of the upper part of the bone of the arm (humerus). Approximately 80% of all proximal humeral. Proximal humerus fracture orif 23615. On the other hand, because displacement can upset the mechanics of the. Typically occur in elderly osteoporotic patients from foosh mechanism. For pediatric patients see proximal humerus fracture (peds). This is when the proximal humerus is fractured, and the joint surface of the ball (humeral head) and socket (glenoid) are out of their normal. Complications may include axillary nerve or axillary artery injury. To determine the effect of alternate devices in the management of four part proximal humerus fractures in patients on the risks of reoperation, need for implant removal at 1 year, and pain. Fractures requires medial support via. Therefore, fractures of the proximal humerus can be devastating to quality of life. Restoration of function requires a thorough understanding of these, the proximal humerus locking plate is the most widely used. • radiographically will see alignment between medial shaft and head segments. The humoral head, the greater tubercle, the lesser tubercle, and. These fractures are unifocal extraarticular proximal humerus fractures with nonimpacted (displaced) metaphysis, also involving the surgical neck. A proximal humerus fracture is a break in the long bone of the upper arm at the shoulder joint.

Share on