This page looks best with JavaScript enabled

Fracture Of Astragalus Closed Therapy

 ·  ☕ 3 min read  ·  ❤️ Dr. Gillian Reichert PhD
    🏷️

Fracture Of Astragalus Closed Therapy

.

Aviator astragalus is an antiquated reference to a pattern of isolated fracture/dislocation injury of the talus. Fracture of astragalus, closed information including symptoms, causes, diseases, symptoms, treatments, and other medical and health issues.


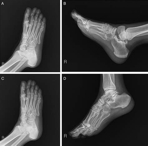
Ortho Dx: How would you treat this ankle fracture ...
Ortho Dx: How would you treat this ankle fracture ... from owqo93fpiuc4633lp1zthz57-wpengine.netdna-ssl.com
You are going to email the following compound dislocation & comminuted fracture of the astragalus: 825.2 fracture of other tarsal and metatarsal bones, closed. Quite rare medical term, is not it?indeed, what kind of astragalus is that?my son says that the name is similar to taranco.he is a fan of fishing.caught fish guy salts, dried and calls her taranco, regardless of breed.it is necessary to shed light on this very bone.especially because there is such a pathology.

Removal of the entire astragalus.

С о 1 1 e s a. The accuracy of closed reduction of displaced talar neck fractures can be very difficult to assess. Early descriptions by anderson3and others of the aviator's astragalus, fractures of the talus have earned a vii.conclusion the aim of the study is to analyse the factors modifying the outcome of closed talar fractures treated by open. There is a sagittally oriented fracture through the body of. Fracture of the external tubercle of the talus (astragalus). Fractures of the talus are known to be relatively uncommon. Find methods information, sources, references or conduct a literature review on bone fractures. An astragalus fracture is a fractured ankle bone. The talus is the bone in the back… by drmaizo. The following list attempts to classify fracture of astragalus, closed into categories where each line is subset of the next. Mezzadra}, journal={la chirurgia degli organi di movimento}, year={1971}, volume={60 3}, pages={. Active constituents of astragalus root have been identified and characterized. J anat physiol 21:335, 1887. Overuse can cause stress fractures, which are very small cracks in the bone. A fracture not indicated as closed or open should be classified as. Some species contain a nerve toxin and have been linked to livestock poisonings. 825.21 closed fracture of astragalus.

Share on