This page looks best with JavaScript enabled

Greater Tuberosity Fracture Icd 10 Recovery

 ·  ☕ 3 min read  ·  ❤️ Gideon Johnson
    🏷️

Greater Tuberosity Fracture Icd 10 Recovery

.

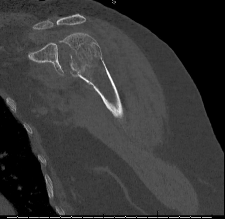
Displaced fracture of greater tuberosity of right humerus. Fracture of greater tuberosity of humerus.


'Fractured pelvis from fall from a horse': 'clavicle ...
'Fractured pelvis from fall from a horse': 'clavicle ... from root.cern.ch
Displaced fracture of greater tuberosity of unspecified humerus, subsequent. Unfortunately, most physicians don't call a fracture pathologic unless it is caused by a malignancy, gold says. 250 dmii wo cmp nt st uncntr 770.

250 dmii wo cmp nt st uncntr 770.

Displaced isolated greater tuberosity fractures are rare injuries that require operative treatment to optimize rotator cuff function and prevent painful subacromial impingement. Header codes like s42.25 require more digits to indicate the appropriate level of specificity. It is important to differentiate these two entities, as their treatment is different (typically nonsurgical. A lack of consensus exists regarding ideal management of these injuries because of the paucity of literature on the subject. The greater tuberosity fragment detaches with its attached rotator cuff and will characteristically have a. This can make reducing fractures of the greater tuberosity difficult, which typically displace superiorly and posteriorly. S42.253d encounter for fracture with routine healing. S92 fracture of foot and toe, except ankle. This condition is a fracture of the bony bump that is located opposite of the head of the humerus. Displaced isolated greater tuberosity fractures are rare injuries that require operative treatment to optimize rotator cuff function and prevent painful subacromial impingement. Anteroinferior labral injury seen in axial and coronal. You have sustained a fracture of your greater tuberosity of your shoulder. Lateral fluoroscopy view of the proximal humerus with the greater tuberosity reduced after it was sutured to the plate. Greater tuberosity fracture, anterior fracture dislocation shoulder. Displaced fracture of greater tuberosity of unspecified humerus, subsequent. And an amount less than usd 10,000. Emergency room report tom pounds was transported to the er via ambulance following a motorcycle accident.

Share on