This page looks best with JavaScript enabled

Hairline Fracture Foot Child Recovery

 ·  ☕ 4 min read  ·  ❤️ Vergie Keebler
    🏷️

Hairline Fracture Foot Child Recovery

.

Hair line fracture is a common sports injury especially of the weight bearing bones such as tibia and metatarsals. 10 days later now it is discovered that there is hairline fracture in the foot.


फ्रॅक्चरचे १५ प्रकार, तुमचं यातल्या कुठल्या प्रकारचं ...
फ्रॅक्चरचे १५ प्रकार, तुमचं यातल्या कुठल्या प्रकारचं ... from www.researchgate.net
The condition can often happen to athletes. Possible causes, signs and symptoms, standard treatment options and means of care and support. Having suffered hairline fractures in his foot while playing with one of his dogs, biden will likely require a walking boot for several weeks.

The most common are metatarsal stress fractures (including 2nd, 4th & 5th), navicular stress fractures (aka.

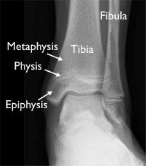
The amount of time it takes for a stress fracture in a foot to heal depends on severity and how you're treating it. Having suffered hairline fractures in his foot while playing with one of his dogs, biden will likely require a walking boot for several weeks. Foot stress fractures are often caused by overuse or repetitive activities. A child bone fracture or a pediatric fracture is a medical condition in which a bone of a child (a person younger than the age of 18) is cracked or broken. Hairline, or stress fractures, are especially common in the foot bones. About 15% of all injuries in children are fracture injuries. A foot fracture can also happen during an accident or because of a medical condition, such as arthritis, that weakens the bones. A stress fracture or hairline fracture is not as immediately obvious as other types of breaks, but there are some symptoms that can be observed. This growth potential allows children's bones to remodel, or naturally correct some or all of the children have soft areas of cartilage at the ends of their bones, called growth plates, where growth takes place. Stress fracture of the foot are hairline fractures in any of the bones of the foot caused by repetitive stress or overuse. Treatment depends on the age, fracture pattern, and weight of the patient. Diabetic foot care | diabetes podiatry. My child fell down from monkey bar while playing but the doctor/radiologist failed to find fracture. It will depend where the broken bone is and the stability of the hairline fracture. While both of them are avid soccer players, they did not. The most common are metatarsal stress fractures (including 2nd, 4th & 5th), navicular stress fractures (aka. Hairline fractures are small cracks in a bone that occur after stress is placed on the lower leg.

Share on