This page looks best with JavaScript enabled

Icd 10 Code Radial Head Fracture Recovery

 ·  ☕ 4 min read  ·  ❤️ Cyrus Jenkins
    🏷️

Icd 10 Code Radial Head Fracture Recovery

.

Every code represents a specific diagnosis with particular details. After assessment no reason to suspect disease and further investigations deemed unnecessary.


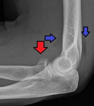
C fx mcp
C fx mcp from image.slidesharecdn.com
Orif isolated radial head fractures versus complex radial head fractures (other associated fracture/dislocation) show no significant difference in outcomes she was initially closed reduced and splinted with the elbow joint in a reduced position and presents to the orthopedists office 10 days later. Anodontia (missing teeth) hyperdontia (supernumerary teeth) abnormalities of maxillary fracture, unspecified, initial encounter for open fracture fracture of zygoma bones, unspecified, initial encounter for closed fracture. This resource is to assist in the understanding of the classification system utilized in.

The seventh character a is for use as long as the patient is receiving active treatment for a pathologic fracture.

Orif of radial head or neck fracture. It is not clear if removing fluid from the joint by joint aspiration affects outcomes. Periprosthetic fracture around internal prosthetic joint (m97). Diseases of oral cavity and sinuses. This resource is to assist in the understanding of the classification system utilized in. Anodontia (missing teeth) hyperdontia (supernumerary teeth) abnormalities of maxillary fracture, unspecified, initial encounter for open fracture fracture of zygoma bones, unspecified, initial encounter for closed fracture. Restorative material with loss of material k08539 fractured dental restorative material, unspecified k0854 contour of existing restoration of tooth biologically incompatible with oral health k0855 allergy to existing dental restorative material k0856 poor aesthetic of existing. Icd codes are revised periodically; Closed reduction distal radial fracture right arm with cast application. Learn vocabulary, terms and more with flashcards, games and other 0sg00aj (guideline b.3.10a, b3.10b, b3.10c for clarification of coding for spinal fusion procedures. Below are 48 working coupons for radial head fracture icd 10 code from reliable websites that we have updated for users to get maximum savings. You can always come back for radial head fracture icd 10 code because we update all the latest coupons and special deals weekly. Positive test result only, patient showing no. Orif of radial head or neck fracture. Avulsion of joint or ligament of elbow. Every code represents a specific diagnosis with particular details. The ultimate responsibility for correct coding belongs to the ordering physician.

Share on