This page looks best with JavaScript enabled

Icd 10 Metatarsal Fracture Therapy

 ·  ☕ 3 min read  ·  ❤️ Mrs. Una Weimann
    🏷️

Icd 10 Metatarsal Fracture Therapy

.

A metatarsal fracture is when one of these bones is broken. Show additional info hide additional info.


Achilles tenodesis for calcaneal insufficiency avulsion ...
Achilles tenodesis for calcaneal insufficiency avulsion ... from media.springernature.com
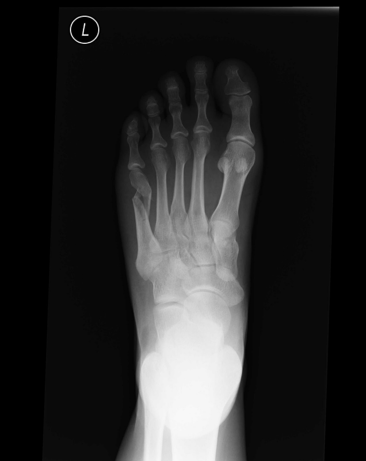
Fractures to the metatarsal bones can be caused by direct trauma, excessive rotational forces or overuse. It includes updates that came into effect between 1998 and 2010, as well as the corrigenda to volume 1, which appeared as an. Avulsion fracture of the base of the fifth metatarsal not seen on conventional radiography of the foot:

Avulsion fracture of the base of the fifth metatarsal not seen on conventional radiography of the foot:

International statistical classification of diseases and related health problems. Read about causes, treatment options, available mobility devices, recovery timeframes, & more. Metatarsal fractures represent a significant proportion of foot injuries. A metatarsal fracture is when one of these bones is broken. Fractures of proximal portion of fifth metatarsal bone: First, followed by a code from m84.5 for the pathological fracture. 68% associated with fracture of 2nd or 4th metatarsal. Avulsion fracture of the base of the fifth metatarsal not seen on conventional radiography of the foot: More than 30 minutes may damage the skin.) make an ice pack by wrapping ice cubes in a plastic bag or towel. The information provided is only intended to be a general summary and not intended to take place of either written law or. Metatarsal fractures may occur via direct trauma, overuse, or inversion injuries. Displaced 1st metatarsal fracture= orif, generally fixed with plates/screws. Various patterns of metatarsal injuries exist and the resultant impact on function and quality of life is not negligible. Transverse fracture at the base of the fifth metatarsal in a male the first metatarsal is injured in 10% of metatarsal stress fractures; Fractures of the proximal fifth metatarsal pose an important diagnostic challenge. Distal radius fractures programme online course: Fractures to the metatarsal bones can be caused by direct trauma, excessive rotational forces or overuse.

Share on