This page looks best with JavaScript enabled

Iliac Crest Fracture Icd 10 Therapy

 ·  ☕ 3 min read  ·  ❤️ Anthony Gusikowski
    🏷️

Iliac Crest Fracture Icd 10 Therapy

.

The iliac crest is in the middle of. It usually occurs in teenagers during sport activities, more common in boys.


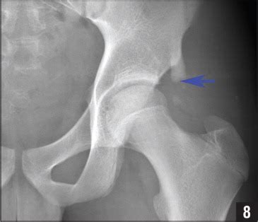
Avulsion fracture of the anterior superior iliac spine ...
Avulsion fracture of the anterior superior iliac spine ... from bjsm.bmj.com
Cclinical test, rresearch test, oomim, ggenereviews, vclinvar. To code a diagnosis of this type, you must use one of the three child codes of m76.2 that describes the diagnosis 'iliac crest spur' in more detail. Fibular fracture, left ankle postoperative diagnosis:

He was tender to palpation over the left anterior iliac crest.

Iliac crest spur, unspecified hip. It is a curved, broad structure made to protect the insides of the pelvic region. The iliac crest may develop fracture due to hip trauma or complications in bone marrow donors. Unsp fracture of unsp ilium, subs for fx w routn heal. This resource is to assist in the understanding of the classification system utilized in. I13.11 obstructive bronchitis (copd) with exacerbation. When you rest your hands on the hip iliac crest pain is a common syndrome witnessed in older individuals and athletes or runners. It runs from the anterior superior iliac spine to the posterior superior iliac spine. Iliac crest bone harvesting is a frequently performed surgical procedure widely used to treat bone defects. Click card to see the definition. Crest fractures iliac, iliac crest fracture. The iliac crest is the most prominent part of the ilium, the largest of the three bones that make up the bony pelvis or hip bone. Iliac crest is situated on the top margin (superior corner) of the ileum. Apophyseal fracture , avulsion fracture , apophysis , pelvis , iliac crest. Open reduction and internal the patient was premedicated with 10 mg of morphine sulfate iv and 1 mg of ativan iv. It serves as an attachment of muscles, aponeurosis, and fascia of the nearby structures 1. Conclusions the free iliac crest flap is a feasible option for extensive compound fractures and.

Share on