This page looks best with JavaScript enabled

In The Medical Term Colles Fracture Images

 ·  ☕ 4 min read  ·  ❤️ Rey Koch DDS
    🏷️

In The Medical Term Colles Fracture Images

.

But i shall prove it hereafter so as to leave no room to doubt it. Colles fracture is the medical name for a broken wrist.


Colles fracture | Radiology Case | Radiopaedia.org on ...
Colles fracture | Radiology Case | Radiopaedia.org on ... from d17h1fcixtjvd3.cloudfront.net
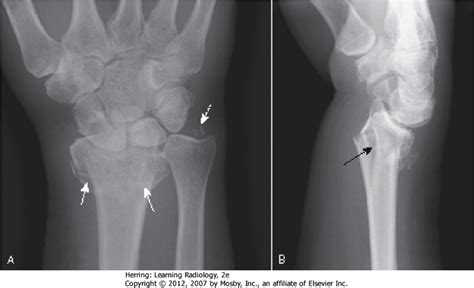
Canadian journal of emergency medical care. A colles fracture is a break in the radius close to the wrist. Colles fracture, named after and described by abraham colle's in 1814, is a fracture of the distal radius in the forearm with specific dorsal and radial however, casting may not be the ideal treatment option for every situation.

Hence the name, colles' fracture.

A colles' fracture, is a fracture of the distal radius in the forearm with dorsal (posterior) and radial displacement of the wrist and hand. But i shall prove it hereafter so as to leave no room to doubt it. Colle's fracture is named after abraham colles, an irish surgeon, who first described the condition. An injury in which one of the bones in the lower part of the arm breaks at the wrist: The colles fracture is named after abraham colles, an irish surgeon, who first described it in 1814 by simply looking at the classical deformity before 10 an increasing awareness of osteoporosis has led to these injuries being termed fragility fractures, with the implication that a workup for osteoporosis. Treatment of impacted greenstick forearm fractures in children using bandage or cast therapy: The term colles fracture is classically used to describe a fracture through the distal metaphysis no further than 4 centimeters proximal to the distal minimally angulated pediatric wrist fractures: Technically, it's a break in the larger of the two bones in your forearm. Meaning of colles fracture medical term. In this type of fracture, the bone breaks and pierces the skin, requiring immediate the effect of search term on the quality and accuracy of online information regarding distal radius. A fracture of the lower end of the radius with backward displacement of the lower fragment and radial deviation of the hand at the wrist that produces a characteristic deformity. Medical definition of colles' fracture: The term colles fracture is often used eponymously for distal fractures with dorsal angulation. If the wrist that is broken is not in the precise position needed to heal, your this procedure which helps avert micromotion crossways the lines of fracture is termed rigid fixation. This fracture was first described by an irish surgeon and anatomist, abraham colles, in 1814; A colles' wrist fracture occurs when the radius bone in your forearm breaks. Colles fracture is the medical name for a broken wrist.

Share on