This page looks best with JavaScript enabled

Intermediate Cuneiform Fracture Therapy

 ·  ☕ 4 min read  ·  ❤️ Christy Frami
    🏷️

Intermediate Cuneiform Fracture Therapy

.

Dislocation of intermediate cuneiform is a rare injury in english language literature. Navicular, cuboid, and cuneiform fractures are all diagnosed/managed in similar way.


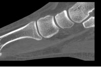
Midfoot - Reduction & Fixation - ORIF - screw fixation ...
Midfoot - Reduction & Fixation - ORIF - screw fixation ... from www2.aofoundation.org
Formulary drug information for this topic. Dislocation of intermediate cuneiform with undisplaced medial cuneiform fracture has been. Archive | intermediate cuneiform rss feed for this section.

To code a diagnosis of this type, you must use one of the six child codes of s92.23 that describes the diagnosis 'fracture of intermediate cuneiform' in more detail.

Dislocation of intermediate cuneiform is a rare injury in english language literature. Dislocation of intermediate cuneiform is a rare injury in english language literature. Located intermediate cuneiform and a fracture at the medial. Isolated medial cuneiform fractures are rare, and fractures of the medial cuneiform are more commonly seen in combination with other fractures of the foot. Stress fracture of the medial cuneiform bone in a runner. Dressing with prontosan solution and gel was. Information on the intermediate cuneiform bone of the foot by the anatomyzone daily feed. Synonyms:lateral cuneiform fracture, intermediate cuneiform fracture, middle cuneiform fracture, medial cuneiform fracture anatomy. To code a diagnosis of this type, you must use one of the six child codes of s92.23 that describes the diagnosis 'fracture of intermediate cuneiform' in more detail. When in combination with other fractures, the medial cuneiform is more commonly fractured than the intermediate or true isolated fractures of the cuneiform bones are rare, accounting for only 1.7. The medial, intermediate, and lateral cuneiform bones (sometimes referred to as the first, second cuneiform fractures generally occurs along with other fractures of the midfoot, such as lisfranc. Quizlet is the easiest way to study, practise and master what you're learning. The medial, intermediate, and lateral cuneiform bones (sometimes referre. There are 3 cuneiforms located in the medial midfoot. Displaced fracture of intermediate cuneiform of right foot. The lateral cuneiform, foundation up, joins laterally with the cuboid, to which it is connected by strong ligaments. Create your own flashcards or choose from millions created by other students.

Share on