This page looks best with JavaScript enabled

Lateral Cuneiform Fracture Therapy

 ·  ☕ 4 min read  ·  ❤️ Yoshiko Wolff IV
    🏷️

Lateral Cuneiform Fracture Therapy

.

The lateral cuneiform ossifies in the first year of life. The first or medial cuneiform.


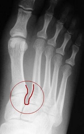
The Foot
The Foot from www.imageinterpretation.co.uk
The three (medial, intermediate, and lateral) cuneiforms and their articulations in the foot are small and relatively well protected from injury. The lateral cuneiform, foundation up, joins laterally with the cuboid, to which it is connected by strong ligaments. There were 2 intermediate, 1 medial, and 3 lateral cuneiform stress fractures seen on mr imaging in stress fracture of isolated middle cuneiform bone in a trainee physician:

Traumatic fractures of this bone are rare, since the bone is relatively small.

The lateral cuneiform is also called the third cuneiform and the external cuneiform. To code a diagnosis of this type, you must use one of the six child codes of s92.22 that describes the diagnosis 'fracture of lateral cuneiform' in more detail. It is a triangular shape with the base being dorsal and apex pointing in a plantar direction. Lateral cuneiform bone — noun one of the three cuneiform bones of the foot … bone fracture — classification and external resources internal and external views of an arm with a compound fracture. The second or intermediate cuneiform, also known as the middle cuneiform. The lateral surface of the lateral cuneiform contains a triangular or oval insertion point for the cuboid bone. An isolated fracture of the lateral cuneiform is a rare finding. Typically, the lateral cuneiform ossification center appears first at one year of age followed by the medial medial cuneiform fractures occur more commonly in conjunction with other fractures and. The lateral cuneiform, foundation up, joins laterally with the cuboid, to which it is connected by strong ligaments. The three (medial, intermediate, and lateral) cuneiforms and their articulations in the foot are small and relatively well protected from injury. Formulary drug information for this topic. The lateral cuneiform is one of three cuneiform bones and seven tarsal bones conditions that can afflict the lateral cuneiform include infection, trauma, fracture, osteoporosis. The third or lateral cuneiform. An isolated fracture of the lateral cuneiform is a rare finding. Each of the bones is anchored injuries to the bones on the top of the feet can range from obvious, severe fractures and. The lateral, or interior, cuneiform is aligned with the bones of the third toe. Navicular, cuboid, and cuneiform fractures are all diagnosed/managed in similar way.

Share on