This page looks best with JavaScript enabled

Limping After Tibial Plateau Fracture Therapy

 ·  ☕ 3 min read  ·  ❤️ Roma Pollich
    🏷️

Limping After Tibial Plateau Fracture Therapy

.

People are generally unable to walk. What's it like to recover from a fibula fracture?


tibial plateau fracture - MD direct
tibial plateau fracture - MD direct from i0.wp.com
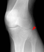
In patients without displacement of the. After tibial plateau fracture surgery you will experience pain, swelling, stiffness and decreased range of movement in your knee. Most tibial plateau fractures fall into two broad categories;

There is normally a recent history of trauma to the knee.

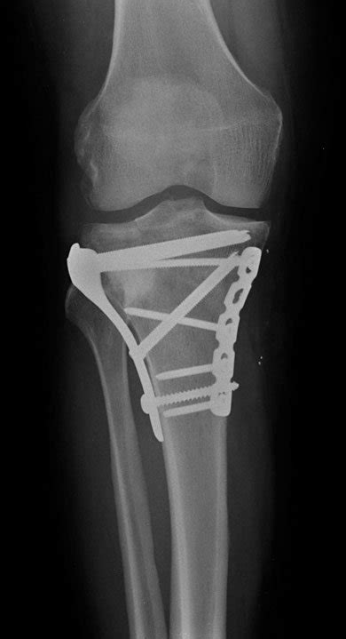
When will i be able to walk without crutches and when will i be able to walk without a limp. After tibial plateau fracture surgery you will experience pain, swelling, stiffness and decreased range of movement in your knee. A fracture is another word for a break. There is normally a recent history of trauma to the knee. People should always follow their doctor's recommendations about returning to walking, exercising, and other physical activity after a leg fracture. Most importantly, by this stage you should not have any residual pain other than an ache and some stiffness when you wake. People are generally unable to walk. (obq09.166) a large posteromedial tibial plateau fracture pattern, as seen with the bicondylar tibial plateau fracture shown in figures a and b, is important to recognize because of which of the following factors? He didn't give me any other instructions other than i worked the next several weeks on my limp and stamina. Tibial plateau fracture with metal plate fixation. Tibial fractures are common and usually caused by an injury or repetitive strain on the bone. Tibial plateau fractures occur just below the knee joint and can involve the cartilage surface of the knee. At this stage, after eight weeks of rehab exercise, it's worth trying to determine what someone with a tibial plateau fracture should be able to do and should not attempt to do. Avulsion fracture of margin of lateral tibial plateau just below joint line. Proper identification and management of these injuries will help to restore limb function. Active flexion and passive extension are encouraged for 6 weeks, after which period active. Pcl and lcl associated with medial plateau fracture.

Share on