This page looks best with JavaScript enabled

Lunate Fracture Treatment Recovery

 ·  ☕ 3 min read  ·  ❤️ Antonietta Gleichner
    🏷️

Lunate Fracture Treatment Recovery

.

What is a lunate dislocation or fracture? Isolated fractures without displacement or subluxation can be managed.


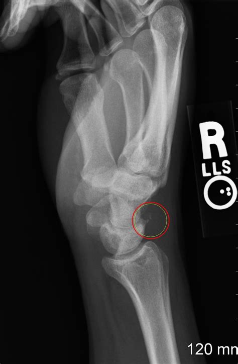
Injuries to the Carpus Perilunate Injuries
Injuries to the Carpus Perilunate Injuries from m3.healio.com
Isolated lunate fractures are exceedingly rare; If the wrist that is broken is not in the precise position needed to heal, your. An mri revealed that mccool, a former olympian, has a stress fracture in the navicular bone of her foot which disrupts the blood flow to the lunate.

Lunate fractures occur in 1.1% of the the immobilization was followed by rehabilitation treatment, massage and physiotherapy.

The lunate is the fourth most fractures carpal bone (following the scaphoid, triquetrum, and trapezium). Isolated lunate fractures are exceedingly rare; Lunate fractures are rare, and often they are difficult to diagnose. Only one case report exists4. If the wrist that is broken is not in the precise position needed to heal, your. The choice of treatment and outcomes are consequently undetermined. An mri revealed that mccool, a former olympian, has a stress fracture in the navicular bone of her foot which disrupts the blood flow to the lunate. A fracture is when the continuity of a bone is broken. A lunate dislocation is an injury to the wrist carpal bones. Lunate fractures occur in 1.1% of the the immobilization was followed by rehabilitation treatment, massage and physiotherapy. Isolated fractures without displacement or subluxation can be managed. Isolated lunate injuries are rare. Treatment is usually internal fixation of the fractured bones, radiocarpal pinning and repair of the radiocarpal tested differential. The most common carpal dislocations are the lunate, the lunate with a scaphoid fracture, and perilunate. What is a lunate dislocation or fracture? Lunate fracture treatment, etiology, epidemiology, natural history, anatomy, symptoms, xrays, classification, complications and references. The lunate is the fourth most fractures carpal bone (following the scaphoid, triquetrum, and trapezium).

Share on