This page looks best with JavaScript enabled

Malunion Of Previous Humeral Fracture Recovery

 ·  ☕ 4 min read  ·  ❤️ Brant Will
    🏷️

Malunion Of Previous Humeral Fracture Recovery

.

If you want good answers, you have to give more detail. Malunion may be encountered after conservative treatment or internal fixation of fractures, and also around a joint prosthesis.


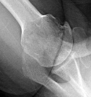
Acta chirurgiae orthopaedicae et traumatologiae Cechoslovaca
Acta chirurgiae orthopaedicae et traumatologiae Cechoslovaca from www.achot.cz
Complete and functional bony malunion of the humeral or femoral diaphysis is occasionally seen following conservative treatment of overridden midshaft fractures. Treatment is nearly always nonoperative in younger patients due to the remodeling potential of the proximal humerus. In younger, more active patients, reduced function and pain that accompany select proximal humeral malunions are generally poorly tolerated.

If you want good answers, you have to give more detail.

S42.391p is a billable diagnosis code used to specify a medical diagnosis of other fracture of shaft of right humerus, subsequent encounter for fracture with malunion. Malunion of the articular surface of the humeral head can lead to pain, chronic degenerative changes secondary to joint incongruity and mechanical block to the range of movement. Rature are incomplete, sometimes confusing and controversial. Symptoms of a malunion reduced function in the injured area Pediatric proximal humerus fractures are a relatively common physeal and metaphyseal fracture of the proximal humerus seen in children with a peak age of 15 year of age. Malunion is defined as the healing of bones in an abnormal position. At 6 months, the fracture had fully united with no loss of reduction. Biomechanical failure can be caused by any of a number of incidents that prime the fracture for instability and consequent hardware failure, resulting in malunion and nonunion. The cause of a humerus fracture is usually physical trauma such as a fall. Not many people will answer if you don't give detail, you aren't saying much with this question. Malunion of a proximal humerus fracture is difficult to manage once bone union has been achieved in a wrong position. Leaving it in place may lead to cortical atrophy and a higher risk of. In cases of a nonunion of a surgical neck fracture, the constant motion through the fracture site can cause the medial cortex of the humeral shaft to cavitate the humeral head. Complete and functional bony malunion of the humeral or femoral diaphysis is occasionally seen following conservative treatment of overridden midshaft fractures. Can be partially compensated for by remodeling of the bone (except for rotational malunion) refracturing. The authors recognize the necessity of a new systematic approach. When the broken bone heals in an unusual position it is referred to as a malunion.

Share on