This page looks best with JavaScript enabled

Metatarsal Fracture Icd 9 Code Therapy

 ·  ☕ 4 min read  ·  ❤️ Baylee Kiehn
    🏷️

Metatarsal Fracture Icd 9 Code Therapy

.

The nature of injury codes are only used for multiple cause of death coding and are included under the entity axis and the record axis conditions in the multiple cause. Pain in the first metatarsal that comes and goes is most commonly due to a bunion or arthritis.


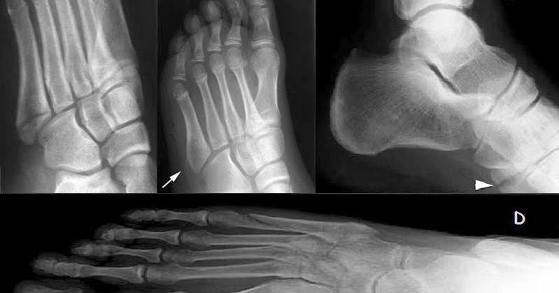
Micro fracture first metatarsal head cpt >> micro fracture ...
Micro fracture first metatarsal head cpt >> micro fracture ... from i00.i.aliimg.com
It covers icd codes 800 to 999. Specifies the type of code (diagnosis / procedure). Initial evaluation should focus on identifying any conditions that require emergent the fracture should then be characterized and treatment initiated.

This code description may also have includes, excludes, notes, guidelines, examples and other information.

U must use one of the six child codes of s92.35 that describes the diagnosis 'fracture of fifth metatarsal bone' in. V58.7 aftercare following surgery to specified body syst v54.2 aftercare for healing pathologic fracture v54.20 aftercare for healing pathologic. It is a list of codes mapping to diagnoses and procedures recorded in hospital care in. The globally used icd code for osteoporosis is icd 9 730.00 (which could also indicate the unspecified or other types of osteoporosis). Initial evaluation should focus on identifying any conditions that require emergent the fracture should then be characterized and treatment initiated. Pain in the first metatarsal that comes and goes is most commonly due to a bunion or arthritis. Distal radius fractures programme online course: Need a bit more information.which bone in the foot is fractured? The above description is abbreviated. Fractures to the metatarsal bones can be caused by direct trauma, excessive rotational forces or overuse. This code description may also have includes, excludes, notes, guidelines, examples and other information. During football, direct trauma is usually caused by a player accidentally kicking the sole of an. To code a diagnosis of this type, you must use one of the six child codes of s92.34 that describes the diagnosis 'fracture of fourth metatarsal bone' in more detail. 825.35 open fracture of metatarsal bone(s). Fracture of vertebral column without mention of spinal cord lesion cervical, closed cervical, open dorsal (thoracic), closed fracture of calcaneus, open fracture of other tarsal and metatarsal bones, closed fracture of. Centers for medicare and medicaid services. 1st metatarsal must be treated to preserve the head as a major wt.

Share on