This page looks best with JavaScript enabled

Orbital Roof Fracture Therapy

 ·  ☕ 3 min read  ·  ❤️ Ms. Marlee Larson MD
    🏷️

Orbital Roof Fracture Therapy

.

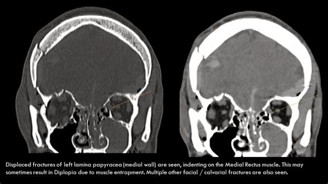
Orbital roof fractures are a less common but potentially serious craniofacial injury. No involvement of supraorbital rim or frontal sinus.


(PDF) Early Reconstruction of Orbital Roof Fractures ...
(PDF) Early Reconstruction of Orbital Roof Fractures ... from www.researchgate.net
Fractures of the orbital roof typically require a significant amount of force. @article{cossman2014traumaticor, title={traumatic orbital roof fractures: Residents and fellows contest rules | international ophthalmologists contest rules.

Fractures of the orbital roof typically require a significant amount of force.

Orbital roof, fracture, blow out. Orbit roof and superior rim fractures may be associated with csf leak or herniation of brain tissue medial orbital wall fracture into the ethmoid may be isolated or may be associated with an orbital. This frequently causes downward and forward displacement of the globe. These fractures are usually associated with high velocity impact and polytrauma, and if misdiagnosed, can have serious complications. The floor is likely to collapse, because the bones of the roof and lateral walls are robust. Pediatric orbital roof fractures are a relatively rare trauma. Explore more on fracture of orbital roof below! The study of fracture of orbital roof has been mentioned in research publications which can be found using our bioinformatics tool below. Orbital fractures history  william lang 1899 first isolated orbital blowout fracture fracture patterns  isolated roof fractures rare in adults because of the protection afforded by the. Fracture to the orbital roof may require consultation with a neurologist or neurosurgeon. Orbital roof fracture — orbital roof fractures are more common in younger patients (less than 10 years) 5,6. Orbital roof fractures are more common in childhood as the frontal sinus has not yet pneumatised, therefore all posterior force to the superior orbital rim is transferred to the anterior cranial base. Orbital roof fractures are a less common but potentially serious craniofacial injury. Orbital roof displaced inferiorly into orbit. Formulary drug information for this topic. Blowout fracture of the orbit: The initial use of endoscopic techniques in the diagnosis and management of orbital.

Share on