This page looks best with JavaScript enabled

Os Peroneum Fracture Images

 ·  β˜• 4 min read  ·  ❀️ Amber Rau
    🏷️

Os Peroneum Fracture Images

.

In cases of os peroneum fractures, these are not the type of fractures that generally heal with immobilization and casting although it can certainly be attempted. More than likely these small round.


Fractures and Dislocations of the Midfoot and Forefoot ...
Fractures and Dislocations of the Midfoot and Forefoot ... from teachmeorthopedics.info
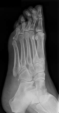
Painful os peroneum, fracture, diastasis. Fractures of the os peroneum present as pain localized on the lateral aspect of the foot resulting from direct trauma, muscle contraction, inversion injuries or chronic overuse injuries. Sx often mild, patients usually present with sprained ankle complaint.

X ray shows irregular, fragmented and possibly spread out appearance of osperoneum with soft tissue swelling in.

Fracture of the os peroneus with retraction of the peroneus longus tendon can lead to weakness, instability, and progressive foot deformity. Hiroyuki fujioka1, , takeshi kokubu2, takeshi makino2, issei nagura2, toshihisa maeda2, masahiro. Painful os peroneum, fracture, diastasis. Surgical excision and repair of peroneus longus tendon or tenodesis to peroneus brevis. Os peroneum treatment, etiology, epidemiology, natural history, anatomy, symptoms, xrays small accessory bone proximal to the base of the 5th metatarsal within the substance of peroneus longus. Subcutaneous peroneus longus tendon rupture associated with os peroneum fracture. Most common fracture at base of 5th metatarsal. Os peroneum is an accessory bone (ossicle) located at the lateral side of the tarsal cuboid, proximal to the base of 5th metatarsal, commonly mistaken for a fracture. Proposed treatment strategies for fracture of the os peroneum include. Brigido mk, fessell dp, jacobson ja, et al. Fracture of the os peroneum is relatively rare, and a stress fracture of the os peroneum is even rarer. Avulsion fracture of the os peroneum with pull of the. Fractures of the os peroneum are rare. Cureus accessory ossicles of the foot and ankle. Fractures of the os peroneum present as pain localized on the lateral aspect of the foot resulting from direct trauma, muscle contraction, inversion injuries or chronic overuse injuries. 578 x 430 jpeg 28 ΠΊΠ±. Fractures of the os peroneum present as pain localized on the lateral aspect of the foot resulting from direct trauma, muscle contraction, inversion injuries or chronic overuse injuries.

Share on