This page looks best with JavaScript enabled

Pediatric Lateral Condyle Fracture Images

 ·  ☕ 3 min read  ·  ❤️ Prof. Marvin Ratke
    🏷️

Pediatric Lateral Condyle Fracture Images

.

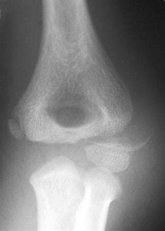
These fractures have been associated with higher energy injuries compared to other elbow fractures. Anteroposterior (a) and lateral (b) views.


Elbow Fractures in Children: An Overview - HSS.edu
Elbow Fractures in Children: An Overview - HSS.edu from www.hss.edu
On the lateral view, cortical disruption is usually seen posteriorly rather than anteriorly as in supracondylar fractures. Paediatric lateral condyle fractures подробнее. Nondisplaced (<2mm), articular surface intact stage ii:

Original editors ashley bohanan, alisha lopez, hannah duncan, neha palsule, brittany buenteo.

Pediatric lateral condyle fractures are the second most common fractures in the pediatric elbow and are characterized by a higher risk of nonunion, malunion, and avn than other pediatric elbow fractures. Для просмотра онлайн кликните на видео ⤵. Fracture through the lateral condyle can extend into the capitellum, disturbing the. Staying out of trouble with pediatric elbow fractures _not supracondylar fractures. Fixation of acute lateral condyle fracture подробнее. These fractures have been associated with higher energy injuries compared to other elbow fractures. Pediatric supracondylar fractures and pediatric physeal elbow fractures. Our literature search showed only 2 reports on these concomitant injuries. Original editors ashley bohanan, alisha lopez, hannah duncan, neha palsule, brittany buenteo. Pediatric lateral condyle fractures and medial epicondyle fractures are uncommon; Fractures of the lateral condylar physis that exit through the capitellum should be treated with the same indications as a milch ii fracture with emphasis placed on achieving and maintaining articular congruity until healed by closed or more often open means. Incidence 17% of all distal humerus fractures in the pediatric population, 2nd most common elbow fracture (after. Ossification centers of the elbow. Haematological conditions programme effectively manage your patients with different. Fracture of necessity in child /real story подробнее. Second most common fracture pattern about the elbow in pediatrics. Upper limb fractures become common in children soon after they become ambulatory.

Share on