This page looks best with JavaScript enabled

Physical Therapy For 4Th Metacarpal Fracture Recovery

 ·  ☕ 3 min read  ·  ❤️ Delphia Douglas V
    🏷️

Physical Therapy For 4Th Metacarpal Fracture Recovery

.

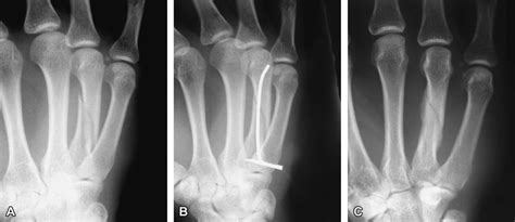
Metacarpal fractures usually occur after a fistfight, car accident, or fall. 1st, 4th, and 5th digits form mobile borders.


Fracture At 3rd And 4th Metacarpal Bone Stock Photo ...
Fracture At 3rd And 4th Metacarpal Bone Stock Photo ... from media.istockphoto.com
Fracture of the base of the 5th metacarpal. Fractures of the metacarpals are the second most common type of fracture seen in a primary care setting. A metacarpal fracture is a type of hand fracture occurring in the bones which form the palm of the hand.

Inspect for open wounds and associated injuries.

A boxer's fracture is a fracture of the complete physical exam of a potential boxer's fracture should include an examination of the entire ice therapy is effective for acute (recent) injuries that involve swelling because it reduces blood flow. Its superior surface presents two facets, a large one medially for articulation with the hamate, and a small one laterally for the capitate. They are classified according to the method of reduction for metacarpal neck fracture. Soft tissue swelling, denoted by the arrow, is perhaps a. The base is small and quadrilateral; Therapy strategies for range of motion (rom) of fingers after injury. Fracture of the base of the 5th metacarpal. Metacarpal neck fractures are common. 4th metacarpal fracture splintall software. The fourth metacarpal bone (metacarpal bone of the ring finger) is shorter and smaller than the third. The 4th metacarpal fracture isn't apparent on the ap view: Treatment of a metacarpal neck fracture is with a splint (eg, an ulnar gutter splint for fractures of the 4th or 5th metacarpal), usually for at least a few weeks. A degree of angulation which varies with the location of fracture is acceptable but malrotation is not. There may be palpable fracture ends of the bone which. Fractures of the 5th metacarpal make up 25% of all metacarpal fractures (which equates to 10% of all hand fractures). Inspect for open wounds and associated injuries. 5th metacarpal fracture exercises mft.

Share on