This page looks best with JavaScript enabled

Pisiform Bone Fracture Recovery

 ·  ☕ 4 min read  ·  ❤️ Prof. Jason VonRueden
    🏷️

Pisiform Bone Fracture Recovery

.

The two patients were treated with closed reduction of both the distal radius and dislocated pisiform under general anaesthesia. Surgical removal of the bone is performed in cases of malunion or.


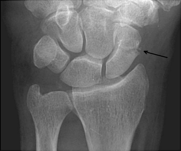
Pisiform fracture | Radiology Case | Radiopaedia.org
Pisiform fracture | Radiology Case | Radiopaedia.org from images.radiopaedia.org
Simultaneous fracture and dislocation of the pisiform has only been described twice in children 1. The pisiform bone is a sesmoid bone, or a small bone within a tendon that increases the pulley action of the muscle. For few weeks, then splint if you have no more see hand doc:

It is the most common carpal bone to break (fracture).

Bone fractures, commonly known as broken bones, happen to millions of people across the country each year. They are only thought to account for ~0.2% of all carpal fractures. Causes vary and treatment is dependent upon the type of fracture. 50% occur in association with other carpal fractures or distal radius fractures. Semantic scholar extracted view of isolated fracture of the pisiform bone. by b a lalanne. This disturbs the structure and strength of the bone, and leads to pain, loss of function and sometimes bleeding and injury around the site. The study of fracture of pisiform bone of wrist has been mentioned in research publications which can be found using our bioinformatics tool below. The two patients were treated with closed reduction of both the distal radius and dislocated pisiform under general anaesthesia. It is the most common carpal bone to break (fracture). The two patients were treated with closed reduction of both the distal radius and dislocated pisiform under general anaesthesia. The most common broken bones are stress fractures, rib fractures, skull fractures, hip fractures, and fractures in children. Explore more on fracture of pisiform bone of wrist below! 50% occur as isolated injuries. The pisiform bone is a sesmoid bone, or a small bone within a tendon that increases the pulley action of the muscle. Quizlet is the easiest way to study, practise and master what you're learning. Bone fractures, commonly known as broken bones, happen to millions of people across the country each year. Simultaneous fracture and dislocation of the pisiform has only been described twice in children 1.

Share on