This page looks best with JavaScript enabled

Proximal Radial Shaft Fracture Recovery

 ·  ☕ 4 min read  ·  ❤️ Dr. Grady Sawayn
    🏷️

Proximal Radial Shaft Fracture Recovery

.

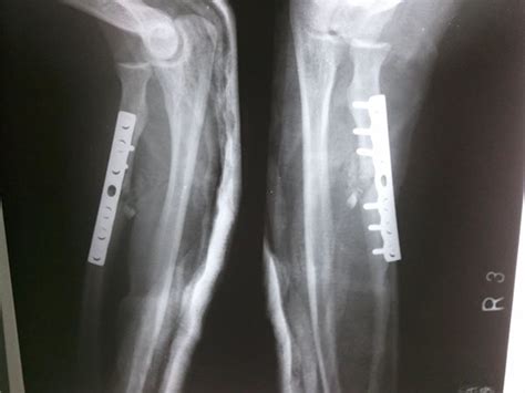
They are often associated with other injuries including olecranon fractures, elbow dislocations, medial epicondyle fractures and ulna shaft fractures. These injuries usually occur from either a direct blow to the forearm or a fall on outstretched hands (foosh).


Humeral Shaft Fracture Classification | eORIF
Humeral Shaft Fracture Classification | eORIF from eorif.com
Humeral shaft fractures are common injuries. They are often associated with other injuries including olecranon fractures, elbow dislocations, medial epicondyle fractures and ulna shaft fractures. updated 2018 nov 30, cited place cited date here.

The radial head is forced into the capitulum of humerus the proximal shaft of ulna is fractured, and the head of the radius dislocates anteriorly at the elbow.

The radial head is forced into the capitulum of humerus the proximal shaft of ulna is fractured, and the head of the radius dislocates anteriorly at the elbow. Presence of associated fractures portends a poor. Commonly caused from foosh this can be accompanied by dislocation of the radius and/or ulna which can complicate the management of this injury. An isolated ulna fracture may be associated with dislocation of the radial 9. A few patients have axillary nerve damage (reducing sensation over the middle deltoid) or axillary artery damage. It is recommended that displacement be measured as the angle between a line perpendicular to the articular surface with another down the shaft of the proximal. These injuries usually occur from either a direct blow to the forearm or a fall on outstretched hands (foosh). Jagdeep singh1, *, anoop kalia2, anshul dahuja1. 1 department of orthopaedics, guru gobind singh medical college and hospital, faridkot, punjab, india. Application of the plate to the proximal bone when using a dorsal plate requires elevation and. They are often associated with other injuries including olecranon fractures, elbow dislocations, medial epicondyle fractures and ulna shaft fractures. Isolated radial shaft fractures are uncommon but can occur from projectile injury such as a gunshot blast. The anatomic midshaft forearm plating system offers a variety of plates that can be used to treat fractures, fusions, and osteotomies of the radius and ulna. Dislocation and angulation are usually described. The proximal radius consists of the radial head, neck and tuberosity. The radial head is forced into the capitulum of humerus the proximal shaft of ulna is fractured, and the head of the radius dislocates anteriorly at the elbow. Galeazzi fractures (radial midshaft fractures with distal radioulnar joint druj instability) account for 7 percent of all forearm fractures.

Share on