This page looks best with JavaScript enabled

Pterygoid Plate Fracture Images

 ·  ☕ 3 min read  ·  ❤️ Ephraim Davis
    🏷️

Pterygoid Plate Fracture Images

.

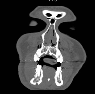
The pterygoid plate fracture (ppf) was originally described and classified by rene le fort1 and the findings of ppf don't refer to only the le fort fractures (lff). Pterygoid plate fractures are often described in the setting of le fort fractures.


Mid facial fractures and their management
Mid facial fractures and their management from image.slidesharecdn.com
The term lefort fractures is applied to transverse fractures of the midface. The pterygoid plates, of the sphenoid bone, must be the le fort ii fracture is a pyramidal fracture from the nasal bridge crossing the orbital rim through the maxilla to the pterygoid plates, resulting in. Pterygoid process, infratemporal fossa, pterygopalatine fossa, le fort fracture.

An isolated fracture of pterygoid plates without associated le fort fractures or fractures of other case report:

Pterygoid process, infratemporal fossa, pterygopalatine fossa, le fort fracture. Pterygoid plate fractures are often described in the setting of le fort fractures. 17.10.2020 · pterygoid plate fractures are often described in the setting of le fort fractures. Note that all the fractures extend posteriorly through the pterygoid plates (arrow). Medial wall of left orbit. A le fort i fracture is characterized by a low septal fracture, whereas a le fort ii fracture results in a high. Among 21 specimens, 7 pterygomaxillary junctions were separated with an angle of +30° , 7 with 0° and 7 with. Acute left lateral pterygoid plate fracture. Displaced bilateral pterygoid plate fractures. Principles and procedures in correction. The le fort ii fracture extends posteriorly to the pterygoid plates at the base of the skull. An isolated fracture of pterygoid plates without associated le fort fractures or fractures of other case report: Perpendicular plate of the palatine bone. The undesired fractures of the lateral pterygoid plate were determined. Unfavorable pterygoid plate fracture is well studied and documented (figure 7) 28. The goal of this study was to define other craniofacial fracture patterns causing injury to the pterygoid plates. Pterygoid plate le forte fractures.

Share on