This page looks best with JavaScript enabled

Radial Head Fracture Rehabilitation Exercises Images

 ·  ☕ 4 min read  ·  ❤️ Jaylen Okuneva
    🏷️

Radial Head Fracture Rehabilitation Exercises Images

.

Here are some examples of exercises for you to try. A radial head fracture commonly occurs due to a traumatic weight bearing force, such as a fall onto an outstretched hand or outer elbow.


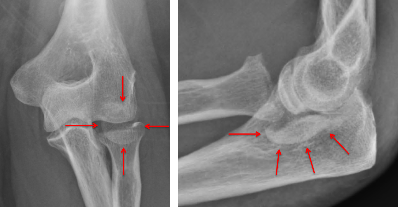
Pin on Ortho
Pin on Ortho from i.pinimg.com
It is a fracture or break of the end of the radius (forearm) then relatively early mobility exercises. In addition, people may be taught how to use a cane or another assistive device. Here are some examples of exercises for you to try.

A radial head fracture is a break to the radius bone in the forearm just below the elbow joint and usually what is a radial head fracture?

Rehabilitation is begun as soon as possible after hip fracture surgery, often within a day. Here are some examples of exercises for you to try. Radial head fractures are more frequent in women than in men, and are more likely to happen in people who are between 30 and 40 years of age. Do not treat simple radial head fractures with prolonged immobilization. Joint motion is difficult to recover even with extensive physical therapy. Inpatient rehabilitation unit with 30 beds admitted by consult services from baylor st. The head of the radius articulates with the capitulum of the humerus. Luke's medical center and ben taub hospital. It tends to be more common in paediatric and elderly populations. Radial head fractures account for nearly 20 percent of elbow injuries, according to the american academy of orthopaedic surgeons. The force from a fall can be so great that it travels up to your arm and results in. Small fragments of broken bone may. If you have suffered a fractured radial head, find out more about your injury, and about what physio.co.uk can do what is a fracture of the radial head? Regardless of the type of fracture or the treatment used, exercises to restore movement and strength will be needed before resuming full activities. The radius is the one of two bones in the forearm. In children, it occurs more often in males whereas it is more common in females in the older population. Radial fractures frequently occur as the result of trying to break a fall using your hands.

Share on