This page looks best with JavaScript enabled

Radiating Fracture Images

 ·  ☕ 3 min read  ·  ❤️ Dr. Gracie Ortiz
    🏷️

Radiating Fracture Images

.

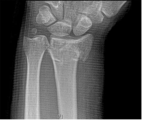
Distal radial fractures are a heterogeneous group of fractures that occur at the distal radius and are the these common fractures usually occur when significant force is applied to the distal radial. The fractures are not caused by radiation damage.


What Type of Vertebrae Spine Pain Do I Have?
What Type of Vertebrae Spine Pain Do I Have? from cdn.shopify.com
Sprain fracture the separation of a tendon from its insertion, taking with it a piece of bone. Stellate fracture one with a central point of injury, from which radiate. The fracture of a solid usually occurs due to the development of certain displacement discontinuity.

The distal radial fracture is the most common fracture of the forearm and accounts for approximately 16% of all skeletal fractures.

Fracture is the separation of an object or material into two or more pieces under the action of stress. Stream radiating fracture lines, a playlist by runninglyrics from desktop or your mobile device. En there are radiating fractures on the left scapula. And then you can see the radiating fractures coming out from that core depression. Your risk of fracture depends, in part, on. The radiating fracture r3 (fig 3), which is part of the df, stops its course when it meets the lf. Distal radius fractures are a predictor of subsequent fractures. Fractures, radiating fractures, and/ or stellate fractures. Hangman's fracture is a bilateral fracture of the pars interarticularis. These fractures occur around the wound due to the heaving of the bone. They occur when the physical force exerted on the bone is stronger than the bone itself. It is usually caused by a fall onto an outstretched hand (foosh). The fracture of a solid usually occurs due to the development of certain displacement discontinuity. The face has been shattered, and several radiating fracture lines traverse the braincase. Forearm fractures involve fracture of shaft of ulna or radius or both bones. Same idea for greenstick fractures. The average person has two during a lifetime.

Share on