This page looks best with JavaScript enabled

Reverse Hill Sachs Fracture Recovery

 ·  ☕ 3 min read  ·  ❤️ Miss Amanda Kassulke
    🏷️

Reverse Hill Sachs Fracture Recovery

.

It results from forceful impaction of the humeral head against the anteroinferior glenoid rim when the shoulder is dislocated anteriorly. Axial view of humerus & acromion fractures.


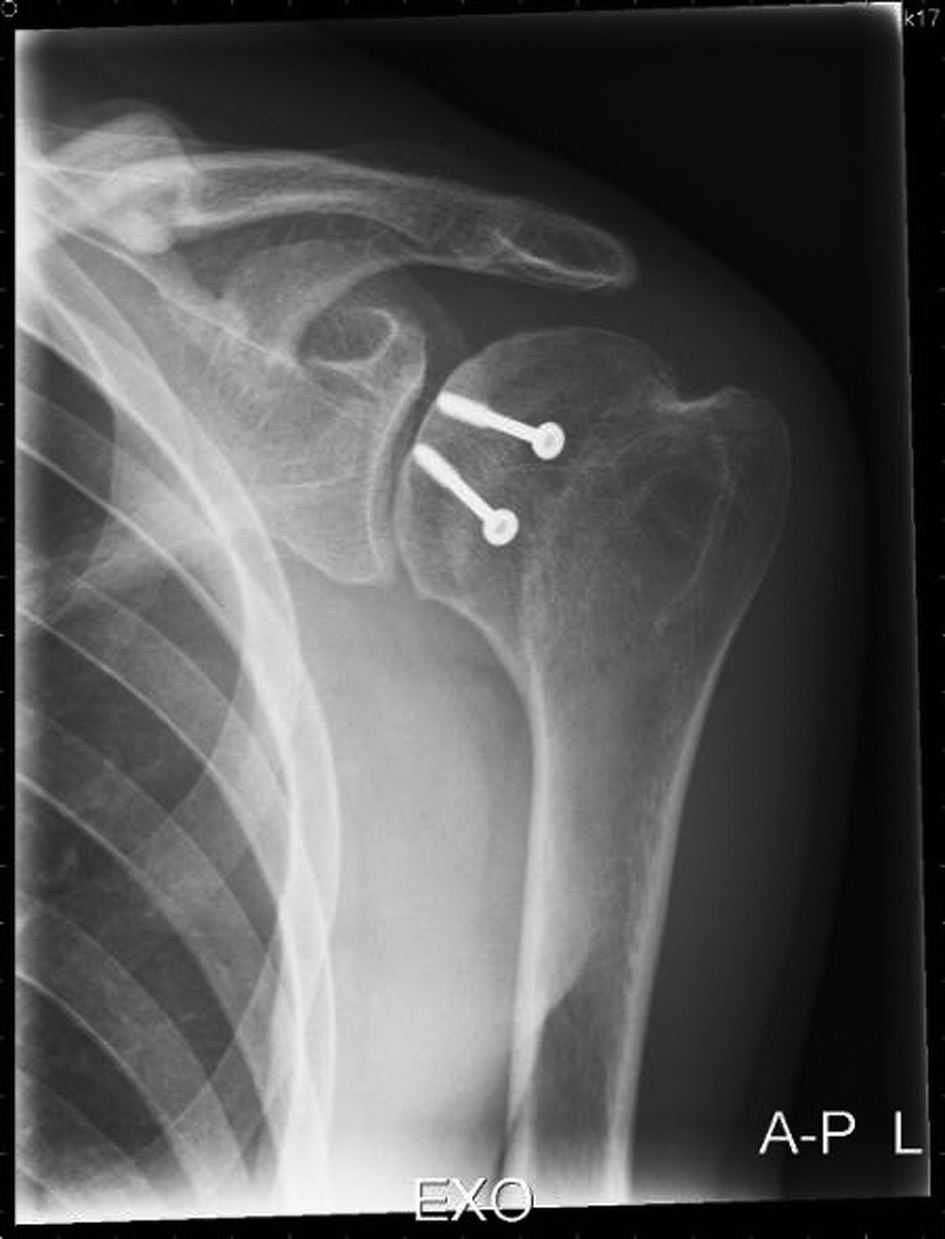
(A) Reverse Hill-Sachs lesion. (B) Post-op X-ray of Neer ...
(A) Reverse Hill-Sachs lesion. (B) Post-op X-ray of Neer ... from www.researchgate.net
Introduction au traumatisme crânien online course: The defect may contribute to anterior shoulder instability and predispose the shoulder to recurrent dislocations. However, there is little published data on management of bone defects on the humeral side 10.

It results from forceful impaction of the humeral head against the anteroinferior glenoid rim when the shoulder is dislocated anteriorly.

All patients had an anteromedial impression fracture, one patient had an additional two part fracture. Anterior dislocations are produced by complex forces acting on the. Bock p, kluger r, hintermann b. It results from forceful impaction of the humeral head against the anteroinferior glenoid rim when the shoulder is dislocated anteriorly. The parameters for lipus include a 20% duty cycle, a. With arthroscopic examination this fracture has been reported to be present in up to 47% of patients after an initial anterior dislocation 2. Posterior dislocation of the shoulder. All patients had an anteromedial impression fracture, one patient had an additional two part fracture. A case series of six patients [published. 300 x 250 png 54 кб. The defect may contribute to anterior shoulder instability and predispose the shoulder to recurrent dislocations. Axial view of humerus & acromion fractures. Hill and sachs described an impression fracture over the posterosuperior aspect of the humeral head in patients following anterior dislocations of the shoulder 1. Mri reviewed by sumer sethi on tuesday, april 14, 2015 rating: The lesion is associated with anterior shoulder dislocation. Posterior locked shoulder dislocation fracture is a rare injury. Introduction au traumatisme crânien online course:

Share on