This page looks best with JavaScript enabled

Sacral Insufficiency Fracture Mri Recovery

 ·  ☕ 3 min read  ·  ❤️ Norberto Sawayn
    🏷️

Sacral Insufficiency Fracture Mri Recovery

.

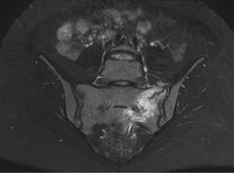
Mri is the radiological examination of choice by some doctors. Sacral insufficiency fractures are a subtype of stress fractures, which are the result of normal stresses on abnormal bone, most frequently seen in the setting of osteoporosis.


Musculoskeletal Radiology of Fractures
Musculoskeletal Radiology of Fractures from www.gentili.net
Bone marrow edema on an mri suggests a. Mri is the radiological examination of choice by some doctors. First described by lourie in 1982.

Prevalence is likely underestimated 1.

Mri is being utilized more routinely in the evaluation of patients with lower back and pelvic. Insufficiency fractures of the sacrum can be a cause of lumbosacral pain in patients after pelvic cancer radiotherapy. The combination of low bone density and increased activity blurs the boundary between fatigue and insufficiency fractures in many runners. Since then, there has been much more cases reported due to the awareness of this entity, however, there is often a delay in diagnosis because clinical symptoms are. 10 other sites frequently affected by insufficiency fractures are the thoracic vertebra, tibia, fibula, and calcaneus. Most patients have delay in the diagnosis of sacral fracture as the symptoms can be more vague. Prevalence is likely underestimated 1. Insufficiency fractures of the sacrum are not uncommon and usually occur in osteoporotic bone with minimal or unremembered trauma. Mri is being utilized more routinely in the evaluation of patients with lower back and pelvic. Sacral insufficiency fractures (sif) are a commonly misdiagnosed painful condition in patients with osteoporosis. Symptoms included lower back or buttock pain, abdominal pain, and purpose. Sacral insufficiency fractures (sifs) result from normal stress applied to abnormal bone; Chapter 119 sacral insufficiency fractures. Insufficiency fractures of the sacrum are an underrecognized cause of low back pain, particularly in the elderly female. 1 sacral insufficiency fracture with a horizontal component through s2. Sacral insufficiency fractures usually are parallel to the spine. Ct may have trouble in demonstrating fractures in the plane of the image (transverse protect patient from possible sacral decubiti.

Share on