This page looks best with JavaScript enabled

Salter Harris Fracture Thumb Recovery

 ·  β˜• 3 min read  ·  ❀️ Prof. Jerald Green
    🏷️

Salter Harris Fracture Thumb Recovery

.

The salter harris fracture has been classified into nine types as per the occurrence, positions and other factors. We explain the types, treatments, and recovery times for this injury.


Fractura de Salter-Harris - Salter-Harris fracture - qaz.wiki
Fractura de Salter-Harris - Salter-Harris fracture - qaz.wiki from upload.wikimedia.org
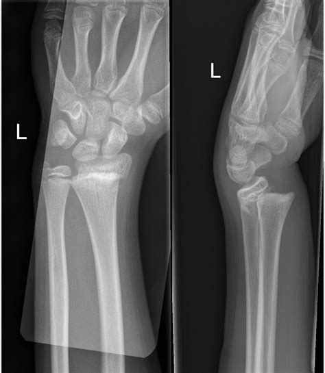
Do not exclude a salter harris type 1 fracture due to a negative xray. It is thus a form of child bone fracture. Small corner of metaphysis that is usually fractured produces.

Distal radius fractures programme online course:

Types i to v as described by robert b salter and w robert harris in 1963,2 and the rarer types vi to ix which have been added subsequently:4. M = metaphyseal involvement, e = epiphyseal involvement, me = metaphyseal and epiphyseal involvement. Related online courses on physioplus. However, only 5 degrees of angulation. It is a common injury found in children, occurring in 15% of childhood long bone fractures. Distal radius fractures programme online course: These fractures (radiographs of which are presented below) are categorized according to the involvement of the physis, metaphysis, and epiphysis. Management of distal radius fractures programme complete overview. There are 5 types of salter harris fractures, learn them here.learn more at. The higher the classification, the higher the likelihood of growth abnormalities. However, only 5 degrees of … Rotational deformities after sh fractures are rarely reported in literature. Salter harris fractures are those which involve the growth plate of long bones. This type of fracture was first described in 1963 by robert b. Involves both the epiphyseal plate and the metaphysis. If physis fracture missed may lead to premature closure and bone growth arrest. Injuries to the extremities of children frequently involve the physis, partially because the ligaments and joint capsule can be 5 times stronger than the growth plate.1 about 15% of fractures of children involve the growth.

Share on