This page looks best with JavaScript enabled

Scaphoid Bone Bruise Vs Fracture Recovery

 ·  ☕ 4 min read  ·  ❤️ Rebeca Funk MD
    🏷️

Scaphoid Bone Bruise Vs Fracture Recovery

.

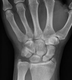
A scaphoid fracture occurs when you break your scaphoid bone. They deduced that bone bruising detected on mri without fracture could lead to occult fracture in up to 2% of cases taking up to 8 weeks to declare.


Cubital Tunnel Syndrome - Avanthi Mandaleson
Cubital Tunnel Syndrome - Avanthi Mandaleson from www.avanthimandaleson.com.au
To avoid missing this the scaphoid bone is the most commonly fractured carpal bone; However, many surgeons prefer operative fixation and/or bone graft placement for ununited fractures, and the feasibility and outcome of any such. Symptoms generally includes pain at the base of the thumb which is worse with use of the hand.

To avoid missing this the scaphoid bone is the most commonly fractured carpal bone;

A fracture is when the continuity of a bone is broken. Whether it's a bone fracture or bruise, trauma to the bone is very painful. This bone is the most frequently fractured carpal bone. Symptoms typically include pain and tenderness below the base of the thumb in an area known as the anatomic snuffbox. Usually, the bone breaks into two the clinical manifestations of fractures of the scaphoid bone are rather scarce, which, apparently, becomes the frequent cause of errors in the diagnosis. This page will describe different types of fractures, how they occur, and how they are treated. Fractures of the scaphoid are the most common of the carpal bone injuries, because of its connections with the two rows the scaphoid can be slow to heal because of the limited circulation to the bone. It's very important to see your doctor if you have any pain in the. 24 raised concern about the potential progression of bruising to occult fracture. Bruising and swelling may also be prominent. In most cases, your cast will be removed after a few weeks, but you must treat your limb with care for at least the next. How is a broken wrist (scaphoid fracture) treated? It may not be obvious that you have a scaphoid bone. In bone can be very subtle difference. Similarly, the underlying causes of bone breaks varies. Generally, scaphoid bone fractures result from indirect trauma when an individual falls onto the outstretched hand with a hyperextended and radially deviated wrist. The scaphoid bone is 1 of 8 small wrist bones (called carpal bones), and is very important bone because it joins up with your forearm bone (called the fracture is more visible then).

Share on