This page looks best with JavaScript enabled

Scaphoid Fracture Rehab Protocol Therapy

 ยท  โ˜• 3 min read  ยท  โค๏ธ Mr. Harry Hyatt II
    ๐Ÿท๏ธ

Scaphoid Fracture Rehab Protocol Therapy

.

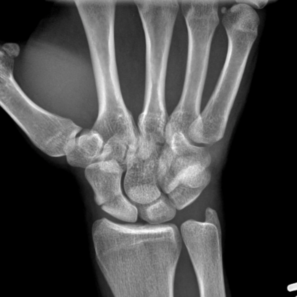
Fractures through the scaphoid bone) are common, in some instances can be difficult to diagnose, and can result in significant functional impairment. Performing rehabilitation exercises after suffering a scaphoid fracture can help you retain full function and mobility in your wrist.


Therapist Resources - Mountain Orthopaedics
Therapist Resources - Mountain Orthopaedics from mountainortho.com
Learn vocabulary, terms and more with flashcards, games and other study tools. The proximal pole of the scaphoid demonstrates. The scaphoid bone is a small bone located at the base of the thumb next to the radius, one of the bones in the lower arm.

Frequently, however, the diagnosis of this scaphoid injury is delayed;

Of (2a) despite immobilization, a fracture line through the scaphoid waist (arrow) remains visible. If the scaphoid fracture is not showing enough evidence of healing, rom may be delayed. Symptoms can include pain and swelling around the wrist. Scaphoid fractures can be mistaken for wrist sprains because they have similar symptoms. A delay in the diagnosis and treatment of a scaphoid fracture may alter the prognosis for union, increase the risk of avascular necrosis, and. Distal radius fractures programme online course: Scaphoid fractures most often occur in males between the ages of 15 to 30 years old and usually are sustained with wrist hyperextension and radial deviation as a individuals with a scaphoid fracture often present with pain, swelling, decreased range of motion, and tenderness in the anatomic snuffbox. Frequently, however, the diagnosis of this scaphoid injury is delayed; Rehab and return to sport treatment of acute scaphoid fracture in the athlete depends on: Scaphoid fracture | faqs answered. A scaphoid fracture is the most common type of carpal fracture affecting young active people. By dr arun pal singh. Treatment may involve surgery to prevent the risk of nonunion. A scaphoid fracture is an injury to one of the small bones in the wrist. The scaphoid bone is a small bone located at the base of the thumb next to the radius, one of the bones in the lower arm. A scaphoid fracture is a type of wrist fracture that occurs most commonly from a fall on the outstretched hand. Scaphoid fractures are an important public health problem as they predominantly affect.

Share on