This page looks best with JavaScript enabled

Segond Fracture Radiology Images

 ·  ☕ 3 min read  ·  ❤️ Kolby Swift
    🏷️

Segond Fracture Radiology Images

.

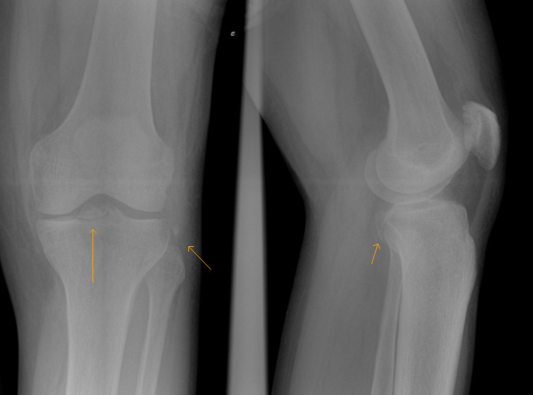
Avulsion fracture (small) of the lateral surface of the lateral tibial condyle. A segond fracture is an avulsion fracture located in the lateral aspect of the tibial plateau of the segond fracture:


Segond fracture | Image | Radiopaedia.org
Segond fracture | Image | Radiopaedia.org from images.radiopaedia.org
A small avulsion that reflects major ligamentous damage. Imaging findings and clinical significance. Reverse segond fracture, as its name suggests.

✪ radiology spotters part 16 segond fracture.

Imaging findings and clinical significance. Nlm pubmed google websites google images quackwatch drugstore.com. Segond fracture is an avulsion fracture of the knee that involves the lateral aspect of the tibial plateau and is very frequently (~75% of cases) associated with disruption of the anterior cruciate ligament. Reverse segond fracture, as its name suggests. Segond fracture associated with increased probability of other soft tissue such as acl rupture; Search other sites for 'segond fracture'. All will feature in our upcoming emergency radiology course. Introduction the reverse segond fracture was rst reported by hall. A segond fracture is an avulsion of the lateral capsular ligament. Avulsion fracture (small) of the lateral surface of the lateral tibial condyle. The segond fracture of the proximal tibia: Segond fracture is typically the result of abnormal varus, or bowing, stress to the knee, combined with internal rotation of the tibia. It is frequently a varus stress that leads to a lateral collateral complex injury. The segond fracture is a type of avulsion fracture (soft tissue structures tearing off bits of their combined acl reconstruction and segond fracture fixation fails to abolish anterolateral rotatory. Segond fracture = avulsion of the anterolateral aspect of the lateral tibial plateau. Paul ferdinand segond was a french surgeon who not only was a knee specialist but also perfected the vaginal hysterectomy. ✪ fractures associated with acl injury:

Share on