This page looks best with JavaScript enabled

Sesamoid Fracture Treatment Recovery

 ·  ☕ 3 min read  ·  ❤️ Prof. Elise Kuhn
    🏷️

Sesamoid Fracture Treatment Recovery

.

Journal of the american veterinary medical association. Dr richard blake discusses the first 3 months of treatment for a sesamoid fracture under the big toe joint.


Sésamoïdes - FIFA Medical Platform
Sésamoïdes - FIFA Medical Platform from www.fifamedicalnetwork.com
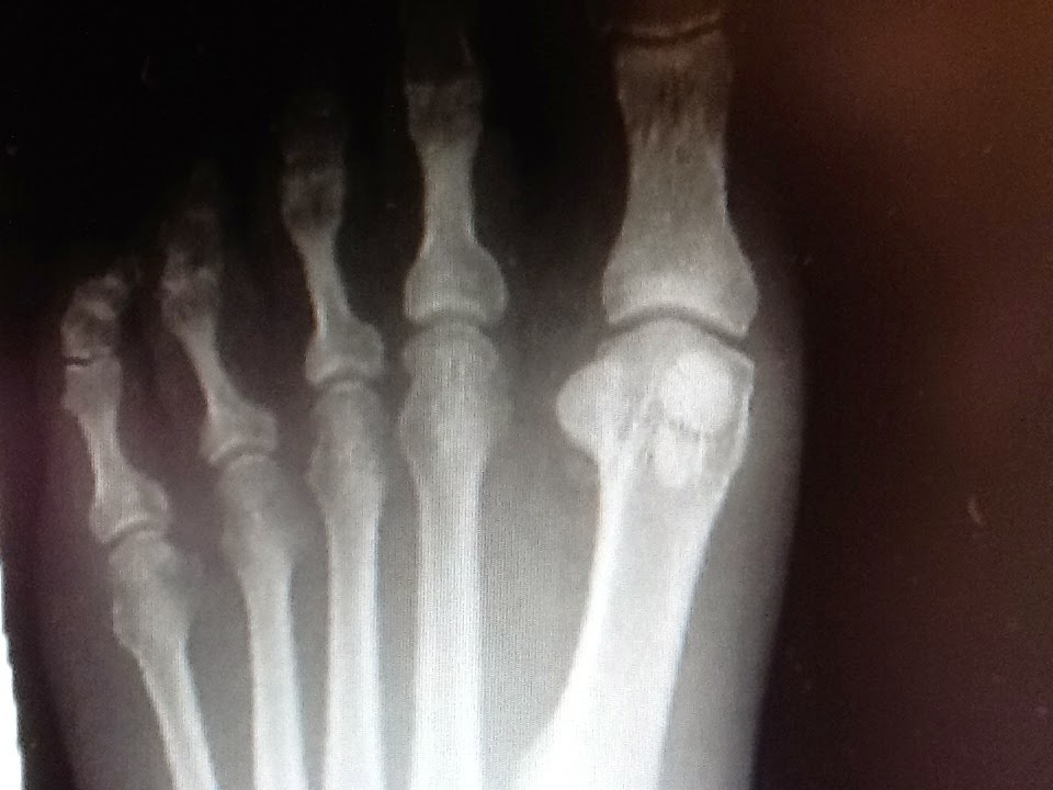
Because of their location, injuries to the sesamoid bones can be very difficult to treat. Sesamoid bones are located in the knees and feet. Sesamoid stress fractures are associated with localized tenderness over the involved sesamoid.

Sesamoids are found in several joints in the body.

Seven months prior, she received a diagnosis of a medial sesamoid fracture. Journal of the american veterinary medical association. If surgery becomes necessary, several procedures are available to treat sesamoid problems. Sesamoids are found in several joints in the body. There are two methods for treating sesamoid problems, nonsurgical treatment and surgery. From injection therapy and orthotic care to surgical treatment options. A sesamoid is a bone embedded in a tendon. Sesamoid fractures occur as a result of trauma to a previous unipartite sesamoid bone. In other cases, if the sesamoids are fractured and does not heal correctly, removal of the sesamoids might be necessary. The most common cause of sesamoid fractures is from acute trauma to the foot, like if a person lands hard on their feet while running, jumping or falling. A sesamoid fracture that goes undiagnosed and untreated will invariably get worse. There can be inflammation of the tendons which are connected to the sesamoid (sesamoiditis) or there can be breakage of the sesamoid bone (sesamoid fracture). Seven months prior, she received a diagnosis of a medial sesamoid fracture. Pain will occur nearly immediately when a person fractures a sesamoid bone, but a person with sesamoiditis will experience pain gradually. Advanced treatments to rapidly heal sesamoid stress fractures. On some occasions, an acute fracture of unipartite sesamoid can be differentiated from a congenital bipartite. After the diagnosis from another physician, she did receive treatment, which included wearing a boot for five weeks.

Share on