This page looks best with JavaScript enabled

Stress Fracture Radius Images

 ·  ☕ 4 min read  ·  ❤️ Mr. Saul Morissette
    🏷️

Stress Fracture Radius Images

.

Stress fractures are common injuries in athletes and military recruits. Stress fractures often occur in people who suddenly shift from a sedentary lifestyle to an active training.


Internet Scientific Publications
Internet Scientific Publications from ee_ce_img.s3.amazonaws.com
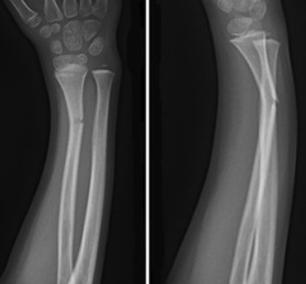
Stress fractures are small cracks in the bone that develop after repetitive trauma. To code a diagnosis of this type, you must use one of the five child codes of m84.33 that describes the diagnosis 'stress fracture, ulna and radius' in more detail. Stress fractures often occur in people who suddenly shift from a sedentary lifestyle to an active training.

Diagnosing distal radius fractures of the wrist:

Bone is constantly attempting to remodel and repair itself typical stress fracture of the distal shaft of the second metatarsal not seen on initial radiograph (left). The pathophysiology of stress reaction and stress fractures is related to the bone response to the repetitive stresses at the cellular level. Header codes like m84.333 require more digits to indicate the appropriate level of specificity. Diagnosing distal radius fractures of the wrist: A tibial stress fracture is a hairline fracture of the tibia bone in the lower leg caused by overuse or repetitive here we explain the symptoms, causes, and treatment for a stress fracture of the tibia. They are a relatively common overuse. Stress fractures of the radius have been described in gymnasts, a tennis player, a pool player, a plain radiograph results were normal; Proper imaging and the fernandez classification To our knowledge, no case has so far been reported in which a stress fracture of the radius occurred after intensive. Overview, diagnosis, treatment and recovery. Note the longstanding adaptive cortical thickening of the radius shaft which. Patients with severe osteomalacia and ulnar shaft fractures should have the forearm immobilized because motion at the fracture site may lead to a stress fracture of the radius. A stress fracture is an overuse injury. Specific coding for stress fracture, right radius. To code a diagnosis of this type, you must use one of the five child codes of m84.33 that describes the diagnosis 'stress fracture, ulna and radius' in more detail. Stress fracture, fatigue fracture, upper extremity, overloading, kettlebell training. If you have suffered a fracture of the radius and ulna, find out more about your injury, and about the first sensation felt when the radius and ulna are fractured is immediate and intense pain in the.

Share on