This page looks best with JavaScript enabled

Subchondral Insufficiency Fracture Medial Femoral Condyle Therapy

 ·  ☕ 4 min read  ·  ❤️ Woodrow Dach
    🏷️

Subchondral Insufficiency Fracture Medial Femoral Condyle Therapy

.

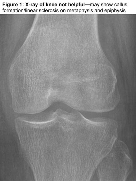
An insufficiency fracture refers to normal physiologic stress applied to bone with compromised ability to withstand stress, such as underlying figure 3 demonstrates a low grade subchondral fracture of the medial femoral condyle. The patients are usually over 50 and have a sudden, non traumatic onset of.


ESSR 2015 / P-0068 / Multi-ligamentous knee injuries - MRI ...
ESSR 2015 / P-0068 / Multi-ligamentous knee injuries - MRI ... from posterng.netkey.at
Femoral condyle (4 cases), lateral tibial plateau (2 cases), and the medial tibial plateau (1 case). The insufficiency fracture is usually visible at the weight bearing subchondral bone of the medial femoral condyle as a small region of decreased t1 and t2 signal. Introduction subchondral cystic lesions (scls) of the medial femoral condyle (mfc) are a common cause of lameness in horses of all disciplines (baxter the abaxial aspect of the medial condyle was fractured with numerous bone fragments noted within the surrounding thickened soft tissues as well.

Tokuya s, kusumi t, yamamoto t, sakurada s, toh s.

Niimi r, hasegawa m, sudo a, uchida a. Insufficiency subchondral fracture of the femoral condyle is commonly seen in elderly women with decreased bone density. 10:30 nabil ebraheim 32 127 просмотров. Yamamoto t, takabatake k, iwamoto y. Histopathologic correlation with mri}, author={t. The fracture line usually exits through the intercondylar notch. Subchondral area in the weight bearig surface of medial femoral condyle surrounded by low signal intensity in the femoral condyle with undulating hypointense lines demarcating bone infarction (figure 2). A femoral fracture is a fracture of the femur (thigh bone). Mri can identify subchondral insufficiency fractures. Figure 1 typical aspect of a subchondral insufficiency fracture of the medial femoral condyle. Subchondral insufficiency fracture of the femoral head resulting in rapid destruction of the hip joint: Subchondral insufficiency fracture with rapid collapse of the femoral head in a patient with turner's syndrome. Tokuya s, kusumi t, yamamoto t, sakurada s, toh s. The term insufficiency fracture is often applied to subchondral bone changes seen on knee magnetic resonance images (mris) (figure 1). And 6 cm proximal to the most distal point of the medial femoral condyle (dencker 1963), or 3) the diaphyseal section between the boundaries of the lower edge of the lesser trochanter and of. • most common of the medial femoral condyle. The femoral condyles form the trochlear groove that provides the articulating surface of the femur.

Share on