This page looks best with JavaScript enabled

Subtrochanteric Fracture Icd 10 Recovery

 ·  ☕ 4 min read  ·  ❤️ Noble Willms
    🏷️

Subtrochanteric Fracture Icd 10 Recovery

.

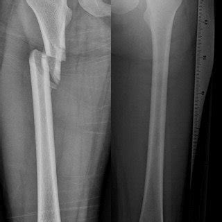
Subtrochanteric fractures are fractures of proximal femur below lesser trochanter. The 7th character should be used when the.


Scaphoid ORIF 25628 | eORIF
Scaphoid ORIF 25628 | eORIF from eorif.com
The 7th character should be used when the. Most subtrochanteric fractures treated with im nail. Hip fractures include femoral neck, intertrochanteric or subtrochanteric fractures, and the classification is based on their location.

The 7th character should be used when the.

This resource is to assist in the understanding of the classification system utilized in. To code a diagnosis of this type, you must use specify a 7th character that describes the diagnosis 'displaced subtrochanteric fracture of right femur' in more detail. Twelve subtrochanteric/diaphyseal fractures (4%) were found in 10 subjects, 3 of whom had not received bps. This resource is to assist in the understanding of the classification system utilized in. Hip fractures are very dangerous episodes especially for elderly and frail patients. Subtrochanteric fractures are fractures of proximal femur below lesser trochanter. Below are 45 working coupons for icd 10 code for displaced intertrochanteric fracture from reliable websites that we have updated for users to get. Proximal fragment is typically externally rotated and flexed due to the pull of the iliopsoas (iliacus/ psoas) and abducted by the short abductors inserting into the greater trochanter. Subtrochanteric fractures occur between the lesser trochanter and the proximal 5cm of the femoral shaft, often associated with an intertrochanteric fracture. Which of the following reduction forces must be applied to the proximal fragment to. Subtrochanteric region is typically defined as the area from lesser. Levine fractures of the subtrochanteric region of the proximal femur can be especially challenging to manage, and they warrant special consideration to obtain consistently satisfactory results. M84.551a fracture, pathological (pathologic), due to neoplastic disease, femur c79.51 carcinoma (malignant), metastatic, see neoplasm, secondary. Hip fractures include femoral neck, intertrochanteric or subtrochanteric fractures, and the classification is based on their location. A total of 10,548 entries fulfilling the inclusion criteria were identified in the register and included in the study. Extracapsular fractures include intertrochanteric (between the trochanters) and subtrochanteric (distal to the trochanters). Most subtrochanteric fractures treated with im nail.

Share on