This page looks best with JavaScript enabled

Transcondylar Fracture Recovery

 ·  ☕ 3 min read  ·  ❤️ Mr. Arne Labadie II
    🏷️

Transcondylar Fracture Recovery

.

Looking for online definition of transcondylar fracture in the medical dictionary? Denoting the line of bone incision in carden amputation.


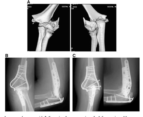
Trauma: Comminuted transcondylar distal humerus fracture
Trauma: Comminuted transcondylar distal humerus fracture from www.eatonhand.com
Denoting the line of bone incision in carden amputation. Transcondylar fracture of the distal part of the humerus with associated dislocation (posadas fracture) is rare. Transcondylar fracture information including symptoms, causes, diseases, symptoms, treatments, and other medical and health issues.

Denoting the line of bone incision in carden amputation.

Conclusions transcondylar fractures are the most common type of extra‐articular bicolumnar fracture and may be more common than previously recognized. The fracture involves the cortex circumferentially and there may be displacement. Transcondylar fractures of the distal humerus have characteristic transverse, anterior shear, or posterior shear fracture patterns. Tietjen}, journal={the journal of bone and joint surgery. Transcondylar humerus fracture in pediatric age. Transcondylar — across or through the condyles; The fracture is usually transverse or oblique and above the medial and lateral condyles and epicondyles. Musculoskeletal trauma (second coronal reformat nect from the same patient confirms transcondylar course of fracture. A supracondylar humerus fracture is a fracture of the distal humerus just above the elbow joint. What does transcondylar fracture mean? This fracture pattern is relatively rare in. Specific coding for transcondylar fracture of humerus. Make an appointment to get a consultation right now! Open transcondylar femoral fracture iiib: To code a diagnosis of this type, you must use one of the six child codes of s42.47 that describes the diagnosis 'transcondylar fracture of humerus' in more detail. Stabilization of this fracture is often difficult because the distal fragments are small. Problems like these can only be correctly handled by y.

Share on