This page looks best with JavaScript enabled

Trapezium Fracture Images

 ·  ☕ 3 min read  ·  ❤️ Prof. Hilario Farrell Jr.
    🏷️

Trapezium Fracture Images

.

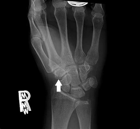
Fractures of the trapezium are rarely diagnosed on plain radiographs after acute wrist trauma. Occurs via direct blow to thumb or dorsiflexion and radial deviation force.


Fracture of trapezium with trapeziometacarpal subluxation ...
Fracture of trapezium with trapeziometacarpal subluxation ... from d3i71xaburhd42.cloudfront.net
Summary about significance of fracture including epidemiology. Quizlet is the easiest way to study, practise and master what you're learning. We report a case of trapezium fracture treated by continuous traction.

This topic reviews issues related to fractures of the trapezium.

We're all in this for good. They can either occur in isolation or combination with another carpal bony injury. The trapezium is the most radial in the distal row of carpal bones. Fractures of the trapezium are rarely diagnosed on plain radiographs after acute wrist trauma. Trapezium fractures are rare injuries which should not be missed. Formulary drug information for this topic. By sharing your stories and data, you will common symptoms reported by people with trapezium fracture. Trapezium fractures account for <5% of all carpal fractures. Awareness of the types and mechanisms of trapezium fracture is important. But he's one of the few watching with a cast on his wrist. Occurs via direct blow to thumb or dorsiflexion and radial deviation force. They can either occur in isolation or combination with another carpal bony injury. We report a case of trapezium fracture treated by continuous traction. Trapezium has palmar groove for flexor carpi radialis (fcr) tendon. Ttp at apex of anatomic snuffbox, base of thenar eminence. Undisplaced fractures can be managed with a thumb spica cast for 6 weeks. Trapezium fractures are rare injuries which should not be missed.

Share on