This page looks best with JavaScript enabled

Ulnar Styloid Fracture Icd 10 Therapy

 ·  ☕ 4 min read  ·  ❤️ Dr. Jermain Stoltenberg
    🏷️

Ulnar Styloid Fracture Icd 10 Therapy

.

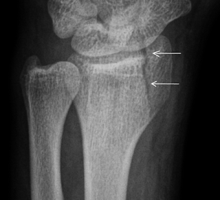
Most of these are small avulsion fractures involving the tip of the ulnar styloid. The 7th characters that can be added, and the resulting billable codes.


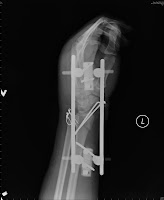
Big Bad: Tension band wiring for ulnar styloid process ...
Big Bad: Tension band wiring for ulnar styloid process ... from 1.bp.blogspot.com
The bony part of your wrist next to your pinky finger is the end of the ulna, also known as the ulnar styloid process. Ulnaris tendon sheath and only rarely by the. The loss of dexterity is common in many musculoskeletal conditions.

10.0 10.1 lichtman d, joshi a.

With associated distal radius fracture: Impaction between ulnar styloid tip and triquetrum that is seen in patients with excessively long ulnar styloids or ulna positive wrists. The ulnar styloid process is a bony protrusion at the end of the ulna, close to the hand. However, large ulnar styloid base fractures or displacement over 2 mm may require open reduction and fixation of the ulnar styloid fracture to achieve druj stability due to proximity of major druj stabilizing ligaments. Ulnar styloid fractures are frequently ignored in the treatment of wrist fractures in children. Does an untreated ulnar styloid fracture affect the outcome of an unstable distal radius fracture treated with external fixation? Ulnar styloid fractures occur in association with ~60% of distal radius fractures. Unrepaired ulnar styloid fracture, even if displaced >2mm, does not influence function or outcome after orif of distal radius fractures (souer js, jbjs 2009;91a:830). The styloid process of the ulna is a bony prominence found at distal end of the ulna in the forearm. Distal radius fracture is usually associated with ulnar styloid fracture. Ulnar styloid fracture is common and may be associated with a distal radial fracture (drf) or occurs as an isolated injury rx. The information posted on this page on an ulnar styloid fracture is for learning and educational purposes only. Is usually the result of tension applied by the extensor carpi. Ulnaris tendon sheath and only rarely by the. Right ulnar styloid fracture icd 10. The aim of this study was to investigate whether an associated ulnar styloid fracture following a distal radius. The healing of an ulnar styloid fracture can be done best through exercise.

Share on