This page looks best with JavaScript enabled

Avulsion Fracture Anterior Superior Iliac Spine Therapy

 ·  ☕ 4 min read  ·  ❤️ Izabella Kovacek MD
    🏷️

Avulsion Fracture Anterior Superior Iliac Spine Therapy

.

The anterior superior iliac spine (abbreviated: It provides attachment for the inguinal ligament, and the sartorius muscle.


Avulsion fracture of the os peroneum with pull of the ...
Avulsion fracture of the os peroneum with pull of the ... from www.researchgate.net
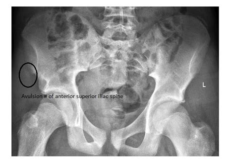
The anterior superior iliac spine (asis) is the most anterior part of the iliac crest. Four of the patients were. The case is here reported of an apophyseal avulsion fracture of the anterior we here report the case of an avulsion fracture of the anterior superior iliac spine (asis) in a 16 year old amateur footballer, who had been followed.

With the close relations of the subcostal nerve to the anterior superior iliac spine, it can be at risk from damage during autologous bone harvesting from.

Ss and hbt performed the technique axial computerized tomography scan of the pelvis showing the avulsion fracture of the left anterior superior iliac spine. The ilium is the largest bone of the 3 bones that make up the outer section of the pelvis. (obq06.38) an avulsion fracture of the anterior superior iliac spine (asis) in a adolescent athlete often occurs from forceful eccentric contraction of. The anterior superior iliac spine can be approached using a direct incision over the anterior aspect of the iliac crest. Keywords avulsion fracture á anterior superior iliac spine á adolescent apophyseal injury. Avulsion fracture of the iliac crest is an uncommon pathology. • sports that require jumping, such as basketball, volleyball, or high or long jumps. The anterior inferior iliac spine (aiis) is a piece of bone just above the hip joint, which is the attachment of part of the rectus femoris muscle, one of the quadriceps muscles of the front of the thigh. Without adequate preventive methods, an avulsion fracture may result. An open reduction and internal fixation. It usually occurs during the sport activities especially in football while hitting the ball. The anterior superior iliac spine provides a clue in identifying some other clinical landmarks, including apophyseal avulsion fractures of the pelvis and lower extremity anterior superior iliac apophyseal. Prevalence, location and sports distribution of anterior superior iliac spine. Avulsion fracturesiliac crest avulsion fracture. Four of the patients were. To read more or access our algorithms and calculators, please log in or register. Anterior superior iliac spine avulsion fracture presenting as meralgia paraesthetica in an adolescent sprinter.

Share on