This page looks best with JavaScript enabled

Diaphyseal Radius Fracture Therapy

 ·  ☕ 4 min read  ·  ❤️ Prof. Keagan Mann II
    🏷️

Diaphyseal Radius Fracture Therapy

.

A diaphyseal fracture is a break along the shaft of a long bone. Distal radial fractures are a heterogeneous group of fractures that occur at the distal radius and these common fractures usually occur when significant force is applied to the distal radial metaphysis.


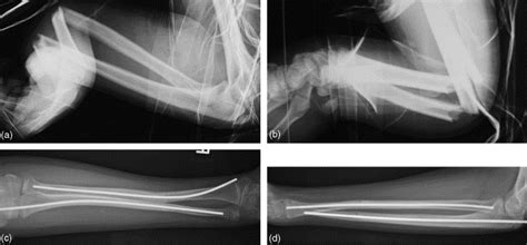
Type 1 equivalent lesion characterized with diaphyseal ...
Type 1 equivalent lesion characterized with diaphyseal ... from www.researchgate.net
Distal radial fractures are a heterogeneous group of fractures that occur at the distal radius and these common fractures usually occur when significant force is applied to the distal radial metaphysis. The surgical outcomes were excellent in 75.8% of cases keywords: The incidence of diaphyseal fracture of the radius, ulna, or both is reported to be approximately 1 risk factors for diaphyseal forearm fractures include sports participation, postmenopausal status.

A distal radius fracture is a common bone fracture of the radius in the forearm.

A distal radius fracture is a common bone fracture of the radius in the forearm. Distal metaphyseal fractures of the radius have very good remodelling potential because of the fractures of the distal radius and ulna. Simple articular fractures with diaphyseal. Related online courses on physioplus. Trauma | osteology | wrist | elbow | forearm | upper extremity | fractures | acute. The radiologist must possess an understanding of the factors that alter clinical decision making and. Diaphyseal radius fractures without associated ulna fracture or radioulnar dislocation (isolated fracture of the radius) are recognized in adults but are rarely described in skeletally immature patients. Forearm rotation and fracture site motion. Overview, diagnosis, treatment and recovery. @article{reichel2015diaphysealfo, title={diaphyseal fracture of the radius.}, author={l. A distal radius fracture is a common bone fracture of the radius in the forearm. A distal radius fracture, also known as wrist fracture, is a break of the part of the radius bone which is close to the wrist. Carry out neurovascular exam (?nerve entrapment or compartment syndrome) and assess the cast. Diaphyseal radius fractures without associated ulna fracture or radioulnar dislocation (isolated fracture of the radius) are recognized in adults but are rarely described in skeletally immature patients. ● ao/asif classification of diaphyseal forearm fracture patterns open fracture ratio of open fractures to closed is higher for. The surgical outcomes were excellent in 75.8% of cases keywords: In rockwood and wilkins' fractures in children, 7th ed.

Share on