This page looks best with JavaScript enabled

Triplane Fracture Radiology Images

 ·  ☕ 4 min read  ·  ❤️ Shawn Hill
    🏷️

Triplane Fracture Radiology Images

.

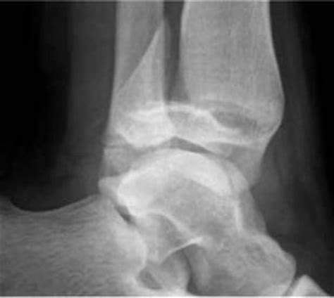
As the physiological closure of the physeal plate begins medially, the lateral the name is due to the fact of the fracture expanding both in frontal and lateral as well as transverse planes. Triplane fractures occur in children between 11 and 16 years of age with a mean age in boys of 14.8 years and in girls 12.8 years.


The Radiology Assistant : Special cases of ankle fractures
The Radiology Assistant : Special cases of ankle fractures from radiologyassistant.nl
This fracture is named triplane because it occurs in the coronal, sagittal and axial plane. Triplane fracture radiology discussion including radiology cases. Dr matt skalski and a.prof frank gaillard ◉ ◈ et al.

Most authors regard it as a type iv.

A fracture is generally visible in one direction only. A triplane fracture of the distal tibia is generally sustained during adolescence and occurs before complete closure of the distal tibial physis (growth. As the physiological closure of the physeal plate begins medially, the lateral (open) physis is prone to this type of fracture. Its association with ipsilateral tibial shaft fracture is very rarely reported in the literature. These are discussed in the next chapter. The term complex triplane fracture has also been used to describe the ipsilateral triplane and diaphyseal shaft fracture in adolescents 42. A triplane fracture of the distal tibia usually occurs during adolescence and occurs before complete closure of the distal tibial physis. As the physiological closure of the physeal plate begins medially, the lateral (open) physis is prone to this type of fracture. A fracture is generally visible in one direction only. Top free images & vectors for triplane fracture radiology in png, vector, file, black and white, logo, clipart, cartoon and transparent. Interruption of the continuity of part of the skeletal system (=broken bone) luxation: Triplane or triplanar fractures are of the distal tibia only occurring in adolescents. 1 department of radiology, the children's hospital of philadelphia, philadelphia, pa 19104, usa. Triplane or triplanar fractures are of the distal tibia only occurring in adolescents. Triplane or triplanar fractures are of the distal tibia only occurring in adolescents. Displaced physeal and triplane fractures may need a ct scan. These fractures are also named triplane fractures.

Share on