This page looks best with JavaScript enabled

Distal Tibial Metaphyseal Fracture Recovery

 ·  ☕ 3 min read  ·  ❤️ Zachariah Kuphal
    🏷️

Distal Tibial Metaphyseal Fracture Recovery

.

Valgus recurvatum and varus procurvatum. Practical tips and techniques for optimal management.


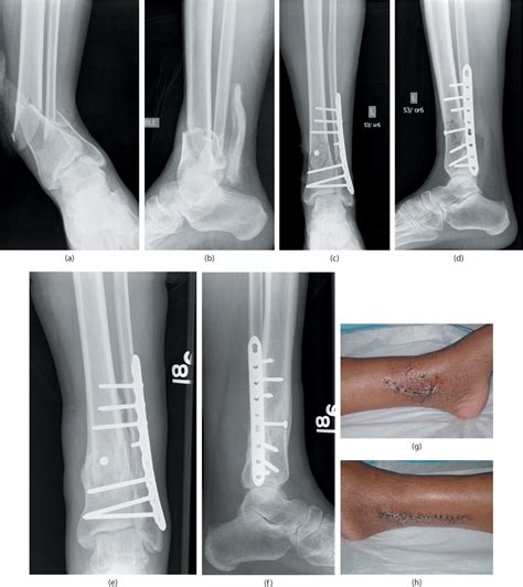
Stress fracture of the distal tibia post ORIF | Radiology ...
Stress fracture of the distal tibia post ORIF | Radiology ... from images.radiopaedia.org
Common methods for surgical management include plates (locking and nonlocking). A prospective randomized trial of closed reduction and intramedullary nail versus open reduction and. Tibial plateau fractures are complex fracture involving articular surface of upper end tibia also.

Tibial pilon fracture lcp distal tibial plate.

Practical tips and techniques for optimal management. Pavolini b, maritato m, turelli l, d'arienzo m. Fractures of the proximal tibia associated with longterm use of methotrexate: When the threshold of impact absorption in the distal tibia. These distal tibial nonarticular metaphyseal fractures can be described by their increasing degree of complexity as these fractures of the distal tibia are usually caused by low energy traumas with rotational or pure bending forces. Comminuted metaphyseal fractures (ota classification a2/3 and c2/3) of the distal femur and distal tibia are difficult to treat and typically have more complications than other metaphyseal fractures. Distal tibial metaphyseal fractures treated by percutaneous plate osteosynthesis. Review of distal tibial epiphyseal transitional fractures. Review of distal tibial epiphyseal transitional fractures these pictures of this page are about:tibial metaphyseal. Clin orthop relat res 2003; The ilizarov fixator in trauma. As most cases present following a fall or trauma, differentials include tibial plateau fractures, haemarthrosis, or tibial shaft. Although fibular fixation has been shown to. Helfet d, shonnard p, levine d, borelli j. Valgus recurvatum and varus procurvatum. A prospective randomized trial of closed reduction and intramedullary nail versus open reduction and. There is less tendency to coronal angulation, but anterior collapse and recurvatum may occur, which is.

Share on